Free reference — 99+ guides, IR playbooks, wRVU tracking, and more in RadCall Pro. Start 14-day free trial
Fractures Updated 2026-04

Salter-Harris Classification — Physeal Fractures in Children

Salter-Harris classification of physeal fractures Types I–V: imaging features, growth arrest risk, surgical indications, and SCFE imaging diagnosis with Klein's line.

Quick summary

Salter-Harris classification of physeal fractures in children: imaging features by type, growth arrest risk, surgical indications, and SCFE diagnosis with Klein's line.

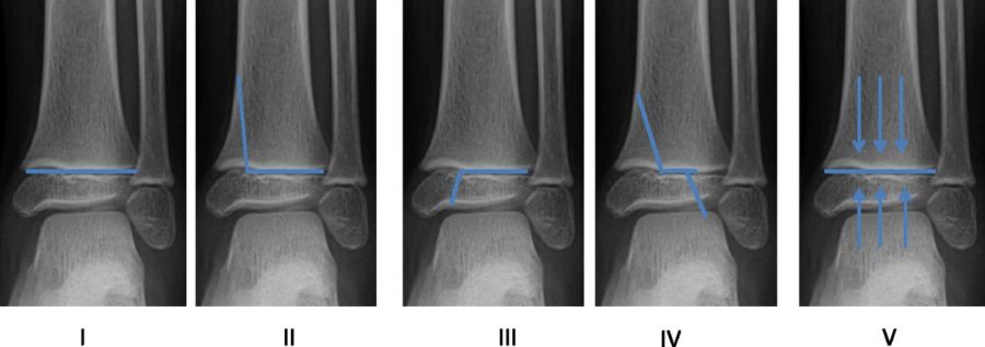
Salter-Harris Classification

Type Description Growth Arrest Risk
I Through physis only — periosteal sleeve; X-ray may be normal Low — physis intact
II Through physis + metaphysis (most common; Thurston-Holland corner fragment) Low — most common type; favorable prognosis
III Through physis + epiphysis (intra-articular; surgical) Moderate — articular involvement
IV Metaphysis + physis + epiphysis (crosses entire plate — surgical) High — crosses entire growth plate
V Crush/compression of physis (poor prognosis; often missed acutely) Highest — physeal destruction
Salter-Harris classification of physeal fractures: I through physis; II through physis and metaphysis (most common); III through physis and epiphysis; IV through all three; V crush injury of physis
Salter-Harris classification — Types I–V

Memory aid: SALTRSame (physis only), Above (metaphysis), Lower (epiphysis), Through (both), Rammed (crushed).

Type II — Thurston-Holland Fragment

The Thurston-Holland fragment is the metaphyseal corner fragment that remains attached to the epiphysis. It is pathognomonic of a Type II Salter-Harris fracture on XR.

SCFE — Slipped Capital Femoral Epiphysis


More in RadCall 99+ guides, IR procedure playbooks, systematic search patterns, case logging, and wRVU tracking — all in one place.
Start free trial ›