Body Radiology
Trauma · GI · GU · OB/GYN · Hepatobiliary
On This Page
Anatomy
Anatomy refs Resources Liver segments HU values
Trauma
Liver injury Renal injury Splenic injury Bladder rupture ↳ Urethral injury Trauma in pregnancy Gunshot injuries
Other
Appendicitis Adrenal washout Bowel ischemia Bowel obstruction Cholecystitis Diverticulitis Ectopic pregnancy Epiploic appendagitis Hernia Ovarian torsion Pancreatitis Volvulus Acute body MRI
Anatomy
Anatomy References
Additional Resources
Liver Segments (Couinaud)
Segments I–VIII based on hepatic veins (divide segments) and portal veins (divide right vs left). Functional right lobe: V–VIII. Functional left lobe: I–IV. Right hepatic vein: divides VI/VII from V/VIII. Middle hepatic vein: true lobar fissure (with gallbladder fossa).
Fluid Hounsfield Units
FluidHU Range
Simple fluid / transudate0–10
Bile−80 to 20
Urine0–20
Contrasted urine80–200
Serum0–20
Unenhanced clotted blood30–45
Clotted blood60–90
Contrast-enhanced blood120+
Trauma
Trauma — Resources
Liver Injury Grading — AAST
Advance one grade for multiple injuries up to grade III.
GradeTypeDescription
IHematomaSubcapsular, <10% surface area
LacerationCapsular tear <1 cm parenchymal depth
IIHematomaSubcapsular, 10–50% surface area; intraparenchymal <10 cm diameter
LacerationCapsular tear 1–3 cm parenchymal depth, <10 cm length
IIIHematomaSubcapsular >50% surface area or expanding; ruptured subcapsular or intraparenchymal hematoma; intraparenchymal >10 cm or expanding
Laceration>3 cm parenchymal depth
IVLacerationParenchymal disruption 25–75% of hepatic lobe or 1–3 Couinaud segments within a single lobe
VLacerationParenchymal disruption >75% of hepatic lobe or >3 Couinaud segments within single lobe
VascularJuxtahepatic venous injuries (retrohepatic vena cava/central major hepatic veins)
VIVascularHepatic avulsion
📋 Reporting Checklist — Liver Injury
Renal Injury Grading — AAST
Advance one grade for bilateral injuries up to grade III.
GradeTypeDescription
IContusionMicroscopic or gross hematuria; urologic studies normal
HematomaSubcapsular, nonexpanding; no parenchymal laceration
IIHematomaNonexpanding perirenal hematoma confined to renal retroperitoneum
Laceration<1.0 cm parenchymal depth of renal cortex; no collecting system rupture or urinary extravasation
IIILaceration>1.0 cm parenchymal depth of renal cortex; no collecting system rupture or urinary extravasation
IVLacerationParenchymal laceration extending through renal cortex, medulla, and collecting system
VascularMain renal artery or vein injury with contained hemorrhage
VLacerationCompletely shattered kidney
VascularAvulsion of renal hilum which devascularizes kidney
📋 Reporting Checklist — Renal Injury
Splenic Injury Grading — AAST
Advance one grade for multiple injuries up to grade III.
GradeTypeDescription
IHematomaSubcapsular, <10% surface area
LacerationCapsular tear <1 cm parenchymal depth
IIHematomaSubcapsular, 10–50% surface area; intraparenchymal <5 cm diameter
LacerationCapsular tear 1–3 cm parenchymal depth; does not involve trabecular vessels
IIIHematomaSubcapsular >50% surface area or expanding; ruptured subcapsular or intraparenchymal; intraparenchymal hematoma ≥5 cm or expanding
Laceration>3 cm parenchymal depth or involving trabecular vessels
IVLacerationInvolving segmental or hilar vessels producing major devascularization (>25% of spleen)
VLacerationCompletely shattered spleen
VascularHilar vascular injury which devascularizes spleen
📋 Reporting Checklist — Splenic Injury
Bladder Rupture
TypeLocationKey Feature
IntraperitonealDome (weakest point)Contrast tracks along bowel loops, paracolic gutters — surgical repair
ExtraperitonealAnterolateral wallContrast in perivesical space (flame-shaped); usually assoc. with pelvic fracture — catheter drainage often sufficient
CombinedBothSurgical repair
📋 Reporting Checklist — Bladder Rupture
Urethral Injuries
Type I — Stretch/elongation, no extravasation · Type II — Partial disruption above UGD · Type III — Complete disruption above UGD (most common posterior injury) · Type IV — Bladder neck injury · Type V — Partial/complete anterior urethral injury
Retrograde urethrogram required to evaluate for urethral injury before catheter placement in pelvic fracture with blood at urethral meatus, perineal bruising, or inability to void.
Pancreatic Injury Grading — AAST
Advance one grade for multiple injuries up to grade III. Proximal pancreas = to the patient's right of the superior mesenteric vein.
GradeTypeDescription
IHematomaMinor contusion without duct injury
LacerationSuperficial laceration without duct injury
IIHematomaMajor contusion without duct injury or tissue loss
LacerationMajor laceration without duct injury or tissue loss
IIILacerationDistal transection or parenchymal injury with duct injury
IVLacerationProximal transection or parenchymal injury involving ampulla
VLacerationMassive disruption of pancreatic head
Key CT signs: Peripancreatic fluid/stranding · Parenchymal laceration (low-attenuation line) · Ductal injury suggested by complete transection or peripancreatic fluid tracking along duct · MRCP or ERCP for definitive duct assessment. Grade III–V injuries typically require surgery or endoscopic intervention.
📋 Reporting Checklist — Pancreatic Injury
📄Radiopaedia — Pancreatic trauma
Bowel & Hollow Viscus Injury — CT Imaging
Key principle: Any free intraperitoneal air in a trauma patient without prior laparotomy = bowel perforation until proven otherwise. Bowel injury is frequently missed on initial CT — mesenteric findings often precede definitive bowel wall signs. Free fluid without solid organ injury is an important indirect sign warranting careful bowel evaluation or repeat imaging.
FindingSignificanceNotes
PneumoperitoneumDirect sign — perforationCheck anterior subdiaphragmatic space and perihepatic region on CT; even a tiny extraluminal bubble is significant; pneumoretroperitoneum suggests duodenal or colonic injury
Bowel wall discontinuityDirect sign — laceration/perforationMay be subtle; inspect all bowel loops on coronal/sagittal reformats; full-thickness defect confirms perforation
Extraluminal oral contrastDirect sign — perforationOnly if oral contrast given; highly specific; oral contrast now rarely used in trauma — absence does not exclude perforation
Mesenteric hematomaDirect/indirect — mesenteric or bowel injuryHyperdense blood within mesentery; may indicate vascular pedicle injury or bowel wall laceration; associated with increased risk of delayed perforation
Mesenteric stranding / fat infiltrationIndirect — mesenteric contusion or injuryHaziness and streaking in mesenteric fat; may represent contusion without perforation; serial clinical exam warranted
Bowel wall thickeningIndirect — contusion, hematoma, or ischemiaCircumferential thickening >3–5 mm; hematoma produces symmetric homogeneous thickening; ischemia produces stratified (target) pattern or loss of enhancement
Free fluid without solid organ injuryIndirect — high suspicion for bowel/mesenteric injurySensitivity for bowel injury ~70%; must correlate with clinical exam and mechanism; isolated free fluid in blunt trauma = diagnostic laparoscopy consideration
Bowel wall hyperenhancement or non-enhancementDirect — active hemorrhage or devascularizationFocally absent enhancement = ischemia/infarction; active extravasation = arterial blush within bowel wall
Segment-specific pearls: Duodenum — retroperitoneal position; look for pneumoretroperitoneum, peripancreatic hematoma, duodenal wall thickening; seat-belt mechanism; associated pancreatic injury common. Small bowel — most commonly injured hollow viscus in blunt trauma; lap belt injury pattern (Chance fracture + bowel injury). Colon — less commonly injured bluntly; consider penetrating mechanism; ascending and sigmoid most vulnerable.
📄Radiopaedia — Small bowel trauma
Trauma in Pregnancy
Key principle: Do not withhold indicated imaging — maternal health is critical to fetal health. Typical trauma CT (abdomen/pelvis) delivers ~25 mGy to the fetus, well below the 50 mGy safety threshold. Prompt diagnosis of maternal injury protects both mother and fetus. IV iodinated contrast is safe in pregnancy (FDA Category B). Gadolinium: avoid unless benefits clearly outweigh fetal risk (FDA Category C).

CT Fetal Radiation Doses

CT ExaminationFetal Dose Estimate (mGy)Notes
Head CT~0Safety threshold: 50 mGy. Doses <50 mGy: no proven fetal harm. Doses 200–250 mGy: potential neural tube defects. Intellectual disability risk highest at 8–15 weeks gestation.
Chest CT / CTPA0.2
Abdominal CT4
Low-dose stone protocol10
Abdomen & pelvis CT25
Abdomen & pelvis CT angiography34
Clinical algorithm: Hemodynamically unstable + FAST positive → laparotomy without further imaging delay. Hemodynamically stable: FAST first → if positive for free fluid or signs of peritonitis → CECT abdomen/pelvis. If FAST negative but clinical concern remains → CECT if indicated. US useful for targeted fetal assessment and gestational age confirmation at any stage. Laparotomy vs. observation in stable patients may be guided by CT findings and gestational age (>24 weeks → fetal monitoring).

Obstetric Injuries — Placental Abruption

Most important obstetric injury: Occurs in 20–50% of pregnant patients experiencing major trauma. Second most common cause of fetal death after maternal shock. US sensitivity is low — 50–80% of traumatic abruptions are missed prospectively at initial US. External fetal monitoring is more sensitive than US for abruption detection and should always be performed for at least several hours after trauma (even seemingly minor trauma, as 1–5% of "minor" cases result in abruption).
FeatureCT FindingsUS Findings
Acute hematoma / abruptionHeterogeneous placenta; area(s) of hypoattenuation or nonenhancement; retroplacental hyperattenuating blood; large retroplacental hematomas undermine placental tissueRetroplacental collection (hyperechoic acutely, becomes hypoechoic / isoechoic as hemorrhage evolves — improving conspicuity on follow-up US)
Normal variants (false positives) — reviewCotyledons, venous lakes, chorionic plate indentations, age-related infarcts — may mimic hypoattenuation. Geographic hypoattenuation is NOT specific for abruption.Prominent venous lakes may mimic retroplacental hematoma — correlate with CT
Complete abruptionTotal absence of placental perfusion/enhancement; associated hemoperitoneumAvascular placenta on Doppler; absent or abnormal fetal cardiac activity
Rupture of membranesLarge volume of fluid in vagina with low volume of residual amniotic fluid; heterogeneous placentaOligohydramnios / anhydramnios; fluid in vagina
📄Radiopaedia — Traumatic placental abruption (case example)

Traumatic Abruptio Placenta Scale (TAPS) — CT Grading

Grades based on degree of placental enhancement on CECT. Intended for 2nd and 3rd trimester. Clinical diagnosis of abruption must be present for grading to apply.
GradePlacental EnhancementClinical Management
0100% — homogeneous normal enhancementNormal; expectant management; good clinical outcomes expected
1>50% — small geographic hypoattenuation (likely normal variants: cotyledons, venous lakes, age-related infarcts)Normal; expectant management; good clinical outcomes expected
2a>50% — nongeographic hypoattenuation, full thickness, acute angles with myometriumIncreased probability of abruption; extended clinical monitoring recommended
2b25–50% — larger area of decreased enhancementIncreased probability of abruption; extended clinical monitoring recommended
3<25% — near-complete devascularizationFetal death occurs frequently; consider immediate cesarean delivery if abruption confirmed

Uterine Rupture

FeatureDetails
Incidence & significance~0.6% of trauma in pregnancy; fetal mortality approaches 100%; maternal mortality ~10% (not typically the primary injury causing maternal death)
CT findingsMyometrial wall defect (most commonly fundus or anterior uterine wall); fetal parts external to uterine contour; hemoperitoneum; complex fluid adjacent to perforation site; diffusely heterogeneous uterus
US findingsUterine contour defect; fetal parts outside uterus; intraperitoneal fluid; may be used intraoperatively
Risk factorsPrior cesarean delivery; prior uterine surgery; congenital anomalies; scarring. Blunt and penetrating mechanisms both implicated.

Fetal Injuries

InjuryDetails
Direct fetal injuryRare (<1% of trauma cases). Fetus relatively protected in 1st trimester by pelvic bones. Risk increases with gestational age as fetus grows and head may engage the pelvis.
Fetal skull fracturesCT more sensitive than US for bone detail. Fetal death in up to 35% when pelvic fracture present. Linear nondisplaced — monitoring without surgical intervention. Depressed fractures — percutaneous or surgical elevation. Fetal ICH may be associated.
Fetal intracranial hemorrhageIdentifiable on CT; associated with skull fractures; deceleration mechanism. Intrauterine fetal death may result.
Rib / long bone fracturesMay be seen on CT with severe pelvic trauma or direct compression. Multiple fetal fractures raise concern for severity of impact.
Penetrating traumaGravid uterus provides protection by displacing abdominal organs; uterine musculature slows projectiles. Severe fetal injury in 60–70% of penetrating trauma; fetal mortality 71–73% with gunshot wounds to the gravid uterus.

Nonobstetric Maternal Injuries — Pregnancy-Specific Considerations

StructurePregnancy-Specific Risk
SpleenDisplaced superiorly by gravid uterus; splenomegaly from increased blood volume → increased susceptibility to rupture from blunt or penetrating trauma
LiverDisplaced superiorly and compressed against rib cage; higher risk of laceration
BowelDisplaced peripherally by uterus; increased risk of injury with penetrating trauma (less protection by uterus laterally)
BladderElevated out of pelvis by gravid uterus; extraperitoneal rupture common (peritoneal reflection is below the displaced bladder). CT cystography or delayed CT imaging recommended if pelvic fracture + hematuria or clinical suspicion.
Pelvic fracturesMaternal mortality up to 9%. Pelvic fracture is not an absolute contraindication to vaginal delivery but increases risk of fetal skull fracture if head is engaged. Fetal death in up to 35% when pelvic fracture present.
VascularIncreased pelvic blood flow → higher risk of severe hemorrhage after blunt or penetrating pelvic trauma
📋 Reporting Checklist — Trauma in Pregnancy
📄Langdon JH, Chai N, Patel A, et al. Imaging of Trauma in Pregnant Patients. RadioGraphics. 2025;45(10):e240043. https://doi.org/10.1148/rg.240043
Gunshot Injuries
Ballistic fundamentals:
Low-velocity (<2,000 fps) — handguns and most civilian firearms. Injury from permanent cavitation (tissue crushed directly by projectile) only. Tissue destruction limited to projectile diameter + fragmentation.
High-velocity (>2,000 fps) — rifles and military weapons. Add temporary cavitation: pressure wave expands a transient cavity far larger than the bullet diameter, causing indirect injury to structures not directly contacted. Organs tolerating stretch (lung, muscle) handle this better than those that do not (brain, liver, spleen, kidney, bowel).
Shotgun — range-dependent: close range (<3 m) delivers high-energy injury comparable to rifle; intermediate range produces spreading pellet pattern; distant range (>7 m) deposits pellets in subcutaneous tissue only.
Secondary projectiles: Bullet fragments and bone chips driven off by impact become high-velocity secondary missiles, extending the zone of injury well beyond the primary bullet path. When a bullet strikes cortical bone, resulting bone fragments can lacerate adjacent neurovascular structures, even if the primary projectile did not directly contact them. Always evaluate structures adjacent to any bone impact site.

CT Trajectory Assessment — Structures to Evaluate by Zone

ZoneCritical Structures Along PathKey CT Findings
Neck
(Zones I–III)
Carotid arteries, vertebral arteries, jugular veins, trachea, esophagus, spinal cord, brachial plexus Expanding hematoma; pseudoaneurysm; occlusion/dissection on CTA; tracheal air leak; esophageal perforation (periesophageal gas, fluid); epidural hematoma; cord signal change on MRI
Chest Aorta/great vessels, heart/pericardium, trachea/bronchi, esophagus, lung parenchyma, diaphragm Hemothorax; pneumothorax; pulmonary laceration; pericardial effusion/hemopericardium; mediastinal hematoma; diaphragmatic defect (herniated bowel/omentum); esophageal gas; aortic pseudoaneurysm on CTA
Abdomen / Pelvis Liver, spleen, kidneys, bowel (small + large), mesenteric vessels, bladder, urethra, iliac vessels, lumbosacral plexus Solid organ lacerations (AAST grade); free fluid (blood vs bowel contents); pneumoperitoneum; mesenteric fat stranding/hematoma; active extravasation on CTA; pelvic fracture with vascular injury; perineal gas (rectal injury); extraperitoneal bladder rupture
Spine Vertebral bodies, spinal cord/cauda equina, epidural space, paraspinal muscles Vertebral body fracture/comminution; intracanalicular bullet or bone fragment; epidural hematoma; bullet trajectory crossing midline predicts cord injury; paraspinal hematoma
Extremities (MSK) Long bones, major arteries/veins, peripheral nerves, joints, compartments Comminuted fracture with bone fragment dispersal; periosteal stripping; intraarticular fragments; expanding soft tissue hematoma; absent distal flow on CTA; compartment syndrome (muscle edema, obliteration of fat planes)

Intraarticular Bullet / Fragment

Report explicitly — clinical consequences are high:
Lead toxicity: Synovial fluid is mildly acidic and dissolves lead → systemic absorption → plumbism (anemia, encephalopathy, neuropathy). Risk is highest when the bullet is within a synovial joint or bursa; fragments in soft tissue or bone carry lower but real risk if near vascular structures.
Joint sepsis: Bullet carries skin flora along the tract; intraarticular entry creates a direct pathway for infection.
Articular cartilage injury: Metallic debris and bone chips cause mechanical damage and degenerative change.
Surgical extraction is generally indicated for intraarticular projectiles.

Retained Projectile — MRI Considerations

Most civilian lead bullets and copper-jacketed rounds are non-ferromagnetic and are generally considered MRI-conditional or safe. Steel-jacketed military rounds (full metal jacket with steel core) may be ferromagnetic — obtain prior radiographs to assess composition before MRI.
Metallic fragments in or near the orbit, spinal canal, or major vessels are high-risk regardless of composition. MRI artifact (susceptibility) can limit evaluation of adjacent structures — CT may be preferred for trajectory assessment near retained fragments.
📋 Reporting Checklist — Gunshot Injuries
📄Sodagari F et al. Gunshot Wounds: Mechanisms, Radiologic Manifestations, and Complications. RadioGraphics. 2020;40(6):1756–1788.
Other
Acute Appendicitis
CT criteria: Appendix diameter >6mm (outer wall to outer wall) + wall thickening + periappendiceal fat stranding. Appendicolith present in ~30% (increases perforation risk). MRI preferred in pregnancy and pediatrics. CT sensitivity ~94%, specificity ~95%.
FindingCTUSNotes
Appendix diameter >6mmOuter wall–outer wall; distended with fluidNon-compressible tubular structure >6mmPrimary criterion; measure at widest point
Periappendiceal fat strandingHaziness/streaking in periappendiceal fatEchogenic surrounding fatIncreases specificity when combined with dilation
AppendicolithCalcified focus within appendiceal lumen; extraluminal if perforatedShadowing echogenic intraluminal focus~30% of cases; associated with perforation/gangrene
Wall enhancement/thickeningStratified wall enhancement; wall >2mmHyperechoic mucosa with thickened layersLoss of enhancement = gangrenous/necrotic wall
Perforation signsFree air (RLQ), periappendiceal abscess (rim-enhancing collection), phlegmonFree fluid RLQ; disrupted wall layersPerforation rate ~20–30%; IR drainage for abscess >3cm
Non-visualizationMay be normal (retrocecal, pelvic) or suggest alternative diagnosisNon-visualization common (~20–30%); proceed to CT in adultsAlways report explicitly — do not call normal
Perforated appendicitis: Localized free extraluminal air in RLQ · Periappendiceal abscess · Phlegmon (ill-defined mass without discrete rim) · Free fluid in RLQ/pelvis. Gangrenous appendicitis: Absent mural enhancement · Intraluminal gas · Focal wall defect. Both require urgent surgical or IR consultation.
Pearls: State diameter + fat stranding + appendicolith separately in report. Retrocecal appendix (~26%): may present with flank pain — ensure full coronal/sagittal review. Tip appendicitis: isolated inflammation of the tip, may be subtle.
📄Radiopaedia — Acute appendicitis
📋 Reporting Checklist — Appendicitis
Adrenal Washout Calculator
APW = absolute percentage washout; RPW = relative percentage washout
Lesion TypeHU Criteria
Adrenal adenoma (lipid-rich)Unenhanced HU ≤10
Adrenal adenoma (washout)APW ≥60% OR RPW ≥40%
APW formula(Enhanced − Delayed) / (Enhanced − Unenhanced) × 100
RPW formula(Enhanced − Delayed) / Enhanced × 100
PheochromocytomaOften >10 HU unenhanced; avoid washout protocol if suspected
MyelolipomaMacroscopic fat (very low HU, <-30)
Bowel Ischemia
Critical finding: Pneumatosis intestinalis (intramural gas) + portal venous gas = grave prognosis — indicates advanced bowel necrosis with transmural infarction. Report immediately and obtain urgent surgical consultation. Distinguish pneumatosis from intraluminal gas: pneumatosis follows bowel wall contour, seen on multiple planes, often linear or bubbly in pattern.
SMA embolus vs thrombosis: SMA embolus: filling defect typically 3–10 cm from SMA origin (beyond origin at middle colic artery), often cardiac source (Afib, endocarditis); spares proximal jejunum. SMA thrombosis: occlusion at or near SMA origin, atherosclerotic disease, ischemia of entire SMA territory including proximal jejunum; longer segment ischemia; prior intestinal angina history.
EtiologyCT FindingsTerritory
SMA occlusion — embolusFilling defect in SMA 3–10 cm from origin; bowel wall thickening → thinning (necrosis); pneumatosis; portal venous gas; lack of bowel wall enhancement; mesenteric strandingMid-jejunum to transverse colon; spares proximal jejunum and duodenum (SMA branches beyond origin occluded)
SMA occlusion — thrombosisAtherosclerotic calcification/plaque at SMA origin; near-complete or complete occlusion at origin; extensive small bowel and right colon ischemia; collateral vessels may be visibleEntire SMA territory including proximal jejunum; duodenum may be involved; longer ischemic segment than embolus
SMV thrombosisHyperdense SMV (acute thrombus); filling defect in SMV ± portal vein; mesenteric edema and ascites (venous congestion); bowel wall thickening (target sign/halo); hemorrhagic infarction more common than arterial; pneumatosis less common earlyVariable; often patchy; mesenteric venous distribution; may spare arterially supplied areas; hypercoagulable states, portal hypertension, pancreatitis
Non-occlusive mesenteric ischemia (NOMI)Patent mesenteric vessels; diffuse bowel wall thickening; poor bowel wall enhancement; mesenteric edema; no filling defect; SMA vasospasm may be visible on angiographyWatershed areas most vulnerable: splenic flexure, sigmoid; diffuse distribution possible; ICU/low-flow states, dialysis, vasopressors
Colonic ischemia (watershed)Bowel wall thickening ± thumbprinting (submucosal edema); pericolonic stranding; watershed zones; typically no occlusion on CT; pneumatosis in severe casesSplenic flexure (Griffiths point) and rectosigmoid junction (Sudeck point) — watershed zones between SMA/IMA and IMA/internal iliac territories
Strangulation / closed-loopClosed loop morphology + wall thickening + loss of enhancement + mesenteric engorgement + ascites + pneumatosis; combination of arterial and venous compromise due to twistingIsolated closed loop; variable size; sigmoid or internal hernia most common; rapidly progressive to full-thickness necrosis
📄Menke J. Diagnostic accuracy of MDCT for acute mesenteric ischemia: A systematic review. Eur Radiol. 2010;20(12):2805-14.
📄Radiopaedia — Bowel ischaemia
Bowel Obstruction
Closed loop obstruction — surgical emergency: Two adjacent transition points creating an isolated loop with no decompression. Signs: C- or U-shaped dilated loop, mesenteric swirl (twisted mesentery), beak sign (tapered ends at transition), whirl sign (twisting of mesenteric vessels/fat), dilated loop with wall thickening or pneumatosis. Requires urgent surgical consultation regardless of other findings.
Caliber thresholds: SBO: dilated loops >2.5 cm proximal to transition point with decompressed loops distally. LBO: colon >6 cm (cecum >9 cm = impending perforation / Ogilvie risk). Water-soluble contrast enema or CT colonography can characterize LBO level and etiology. Pneumoperitoneum = perforation.
FeatureSBO (Small Bowel)LBO (Large Bowel)
LocationCentral abdomen; jejunum (left upper) vs ileum (right lower)Peripheral/frame-like distribution of dilated colon
Caliber threshold>2.5 cm (small bowel); >3 cm (duodenum)>6 cm colon; >9 cm cecum = imminent perforation risk
Transition pointDilated proximal loops → decompressed distal loops; identify cause (adhesion, hernia, mass)Transition at obstructing lesion (carcinoma, diverticular stricture, volvulus); may have competent ileocecal valve → closed loop cecal distension
Closed loopC/U-shaped dilated loop; two transition points; mesenteric swirl; beak sign; high risk of strangulationVolvulus creates closed loop (sigmoid or cecal); competent ileocecal valve in LBO creates cecal closed loop
Common causesAdhesions (most common post-surgical), incarcerated hernia (internal or external), Crohn's stricture, malignancy, intussusception, gallstone ileusColorectal carcinoma (most common), diverticular stricture, volvulus (sigmoid > cecal), extrinsic compression, Ogilvie syndrome (pseudo-obstruction)
📄Paulson EK et al. Acute small bowel obstruction: CT evaluation. Radiology. 2011;261(3):686-98.
📄Radiopaedia — Small bowel obstruction
📋 Reporting Checklist — Bowel Obstruction
Gallbladder & Biliary Emergencies
Emphysematous cholecystitis: Gas in the gallbladder wall (intramural) or lumen on CT = gas-forming organisms (Clostridium, E. coli). Seen in diabetics, elderly, vascular disease. High mortality (15–25%) — emergent cholecystectomy (percutaneous cholecystostomy if too ill). Do not confuse with intraluminal gas (normal post-procedure) — intramural gas follows wall contour, non-dependent, linear/bubbly.
Gangrenous cholecystitis CT findings: Intraluminal membranes (desquamated mucosa — pathognomonic), irregular/asymmetric wall thickening, absent or asymmetric wall enhancement, pericholecystic fluid/stranding, discontinuous mucosal line. Perforation: pericholecystic abscess, free fluid, defect in wall. Higher surgical morbidity than uncomplicated cholecystitis.
DiagnosisUS FindingsCT FindingsUrgency
Acute cholecystitisGallstones + sonographic Murphy sign (tenderness with probe over GB); GB wall thickening >3 mm; pericholecystic fluid; GB distension (>5 cm transverse)GB wall thickening; pericholecystic fat stranding; GB distension; impacted stone in neck/cystic duct; periportal edemaUrgent cholecystectomy within 72h or percutaneous cholecystostomy in poor surgical candidates
Gangrenous cholecystitisIntraluminal membranes (echogenic strands); absent Murphy sign (denervation); irregular wall; no wall vascularity on DopplerIntraluminal membranes; wall irregularity/asymmetry; absent wall enhancement; pericholecystic abscess; pneumobiliaEmergent — higher complication rate; perforation risk; urgent surgical consultation
Emphysematous cholecystitisEchogenic foci in wall with "dirty shadowing" or ring-down artifact (gas); may obscure GB anatomyGas in GB wall (intramural, non-dependent) and/or lumen; pericholecystic gas; may have associated liver abscessEmergent cholecystectomy; gas-forming organisms; diabetic emergency; high mortality
CholedocholithiasisHyperechoic foci in CBD with posterior acoustic shadowing; CBD dilatation >6 mm (>8 mm post-cholecystectomy); visualized in ~50% by USHyperdense foci in CBD on non-contrast; MRCP superior for stones <3 mm; impacted ampullary stone at distal CBD; biliary dilatationUrgent ERCP if cholangitis or obstructive jaundice; elective if asymptomatic
Cholangitis (Charcot's / Reynolds pentad)Biliary dilatation; CBD stones; GB stones; may show periportal edema; abscess formation in severe casesBiliary dilatation; obstructing stone or stricture; periportal edema; hepatic abscesses (pyogenic); pneumobilia (post-sphincterotomy or emphysematous); portal vein thrombosisEmergent — Charcot's triad (RUQ pain, fever, jaundice) ± Reynolds pentad (+ shock + AMS). IV antibiotics + urgent biliary decompression (ERCP preferred); ICU level care
Gallstone ileusDistended bowel loops; large ectopic gallstone; biliary-enteric fistula (pneumobilia); may show cholecystoduodenal fistulaRigler's triad: SBO + ectopic gallstone + pneumobilia; stone typically at terminal ileum (narrowest point); Bouveret syndrome = gastric outlet obstruction (duodenal impaction)Urgent surgical enterolithotomy; fistula repair at same or staged procedure depending on patient stability
Mirizzi syndromeImpacted stone in GB neck/cystic duct causing extrinsic compression of CHD; proximal biliary dilatation with normal distal CBD; gallbladder contractedStone impacted at GB neck; fusiform narrowing of CHD/CBD at cystic duct level; biliary dilatation above; choledochal fistula in advanced cases (type II–IV)Urgent — high surgical complexity; ERCP pre-op for biliary drainage; cholecystectomy ± biliary reconstruction; distinguish from malignancy (Klatskin tumor)
📄Shakespear JS et al. CT findings of acute cholecystitis and its complications. AJR. 2010;194(6):1523-9.
📄Radiopaedia — Acute cholecystitis
📋 Reporting Checklist — Cholecystitis
Diverticulitis
CT findings: Colonic diverticula + pericolonic fat stranding + colonic wall thickening at site of inflammation. Sigmoid colon >90%. CT sensitivity ~97%, specificity ~100%. Hinchey classification guides management of complicated disease.
StageDescriptionManagement
Hinchey IaPericolic/mesenteric phlegmon or confined pericolic abscess (<4 cm)IV antibiotics; most resolve conservatively
Hinchey IbPericolic abscess >4 cmIV antibiotics ± percutaneous drainage if accessible
Hinchey IIPelvic, retroperitoneal, or distant abscessPercutaneous drainage; elective surgery after resolution
Hinchey IIIPurulent peritonitis (ruptured pericolonic abscess)Surgical emergency
Hinchey IVFeculent peritonitis (free colonic perforation)Surgical emergency; highest mortality
Complicated FeatureCT FindingsManagement Implication
Contained perforation / phlegmonPericolonic gas bubbles + inflammatory mass; no free pneumoperitoneumIV antibiotics; admission; most resolve without intervention
Free perforationPneumoperitoneum; diffuse peritoneal enhancement; ascitesSurgical emergency (Hinchey III/IV)
AbscessRim-enhancing fluid collection adjacent to or distant from colon; may contain gas>3–4 cm = IR percutaneous drainage; elective sigmoid resection 6–8 weeks later
FistulaColovesical: air/fecal matter in bladder · Colovaginal: air in vaginaSurgical repair after bowel prep; colovesical most common
ObstructionLBO/SBO from extrinsic compression by phlegmon or fibrosisNG decompression; surgical consult if complete
Surgical emergency: Free air + diffuse peritoneal enhancement = Hinchey IV. Always report free intraperitoneal air with diverticulitis — even small amounts change management.
📄Radiopaedia — Hinchey classification
Ectopic Pregnancy
Ruptured ectopic — hemorrhagic emergency: Free pelvic/abdominal fluid + positive β-hCG = ruptured ectopic until proven otherwise. Do NOT delay for MRI. Hemodynamically unstable patient goes directly to OR. Hemodynamically stable: US to confirm. Hemoperitoneum extending to Morrison's pouch or paracolic gutters = large hemorrhage.
Heterotopic pregnancy: Simultaneous intrauterine and ectopic pregnancy. Rare in general population (~1:30,000) but significantly increased with ART (~1:100–500). Presence of an intrauterine pregnancy does NOT exclude a co-existing ectopic. Always evaluate adnexa even when IUP is confirmed in ART patients.
FindingDescription
Empty uterus with β-hCG >1500–2000 mIU/mLDiscriminatory zone: β-hCG above which IUP should be visible on TVUS (1500–2000 mIU/mL for TVUS; 6500 mIU/mL for transabdominal). Empty uterus above discriminatory zone = ectopic or failed IUP. Note: heterotopic can have IUP + ectopic simultaneously.
Ring of fire signTrophoblastic "ring of fire" Doppler signal around ectopic sac; echogenic ring on B-mode ("bagel sign"); distinct from the ovary (surrounded by ovarian parenchyma = corpus luteum cyst); TVUS most sensitive
Tubal ring sign / extrauterine gestational sacRound or oval adnexal structure separate from ovary; may contain yolk sac or embryo (definitive diagnosis); Doppler: "ring of fire" around ectopic sac (trophoblastic flow)
Free pelvic fluid (hemorrhage)Non-dependent echogenic free fluid in cul-de-sac, Morrison's pouch, paracolic gutters; complex/echogenic = hemoperitoneum; simple free fluid less specific; volume correlates with degree of hemorrhage
Interstitial ectopicGestational sac within myometrium at cornual region; interstitial line sign (echogenic line connecting ectopic sac to endometrium); thin myometrial rim <5 mm; presents later (8–12 weeks) with greater hemorrhage risk than tubal ectopic; 2–4% of ectopics; high mortality
📄Barnhart KT. Ectopic pregnancy. N Engl J Med. 2009;361(4):379-87.
📄Radiopaedia — Ectopic pregnancy
📋 Reporting Checklist — Ectopic Pregnancy
Epiploic Appendagitis & Omental Infarct
Clinical importance: Both are self-limiting conditions treated conservatively (NSAIDs, analgesia). Both clinically mimic appendicitis or diverticulitis. CT is diagnostic and avoids unnecessary surgery and antibiotics. Report confidently when findings are characteristic to prevent unnecessary admission or intervention.
FeatureEpiploic AppendagitisOmental Infarct
LocationImmediately adjacent to colon wall (sigmoid most common, then cecum/ascending); antimesenteric borderLarger area of right-sided omentum most common (right lower quadrant > right upper quadrant); not directly attached to colon
SizeSmall, ovoid; typically 1.5–3.5 cm; proportional to appendage sizeLarger; typically >3–5 cm; cake-like fatty mass; may be very large (>10 cm)
Central hyperdense dotCentral hyperdense focus (thrombosed central vessel) within fatty lesion — characteristic sign (~70%)Absent (no central vessel); heterogeneous fatty stranding without central dot
Fat stranding patternOval pericolonic fat with thin hyperattenuating rim (inflamed/thrombosed epiploic appendage); surrounding inflammation limitedDiffuse, cake-like omental fat stranding; less well-defined; no discrete rim; larger area of involvement
Self-limitingYes — resolves in 2–4 weeks; rarely recurs; conservative managementYes — resolves in 4–6 weeks; conservative management; rarely requires surgery for refractory cases
📄Singh AK et al. Omental infarct and epiploic appendagitis: imaging characteristics and treatment. Emerg Radiol. 2005;11(2):82-7.
📄Radiopaedia — Epiploic appendagitis
📄Radiopaedia — Omental infarction
Abdominal Wall & Internal Hernias
TypeLocationContents at RiskImaging Clue
Inguinal — indirectLateral to inferior epigastric vessels; through deep inguinal ringSmall bowel, omentum, ovary (females)Contents follow inguinal canal lateral to epigastric vessels
Inguinal — directMedial to inferior epigastrics; through Hesselbach's triangleSmall bowel, omentumProtrudes directly through posterior inguinal canal wall
FemoralBelow inguinal ligament; medial to femoral vein in femoral canalSmall bowel (highest strangulation risk)Bowel below inguinal ligament medial to femoral vessels; narrow neck
UmbilicalThrough umbilical ring defectOmentum, small bowelMidline anterior defect at umbilicus; common in obesity, ascites
IncisionalThrough prior surgical scar/fascial defectSmall bowel, omentum, colonFascial defect at scar; report defect size and contents
Paraduodenal (internal)Left paraduodenal fossa (Landzert) or right (Waldeyer's); near TreitzSmall bowelClustered encapsulated small bowel in LUQ (left) or right of midline; displaced mesenteric vessels
Mesenteric defect (internal)Through surgically created mesenteric defect; most common post-RYGBSmall bowel, biliopancreatic limbSwirling mesentery; clustered loops posterior to anastomosis; Petersen's space
Strangulation — report urgently: Bowel wall thickening · Absent bowel wall enhancement · Pneumatosis intestinalis · Mesenteric edema/hemorrhage · Portal venous gas · Free peritoneal fluid. These indicate compromised bowel viability — surgical emergency. Always assess for strangulation when bowel is within any hernia sac.
📄Radiopaedia — Abdominal hernia
Ovarian Torsion
Ultrasound findings: Enlarged ovary (>4 cm, often >5 cm); peripheral follicles displaced to periphery (hallmark — "string of pearls"); ovary displaced from normal position (may be midline or contralateral); absent or decreased Doppler flow; free pelvic fluid; associated adnexal mass (dermoid, cystadenoma) in ~50–60% of cases; thickened edematous stroma.
Critical pitfall: Normal Doppler flow does NOT exclude ovarian torsion. Intermittent torsion or partial torsion can preserve some flow. Clinical presentation + enlarged ovary + peripheral follicles = high suspicion regardless of Doppler. This is a surgical emergency — diagnostic laparoscopy if clinical suspicion is high. Delay causes ovarian infarction and loss.
Pearls: Right > left (sigmoid colon limits left ovarian mobility). Associated ovarian mass in ~50–60% of cases — teratoma, cystadenoma most common. Pediatric patients: torsion can occur with normal ovaries. MRI if equivocal US — T2 hyperintense edematous stroma, absent enhancement in late/infarcted torsion. Doppler twisting of vascular pedicle ("whirlpool sign") is specific but not always present.
📄Shadinger LL et al. Preoperative sonographic and clinical characteristics as predictors of ovarian torsion. J Ultrasound Med. 2008;27(1):7-13.
📄Radiopaedia — Adnexal torsion
📋 Reporting Checklist — Ovarian Torsion
Pancreatitis
Revised Atlanta Classification: Interstitial edematous pancreatitis vs. necrotizing pancreatitis (parenchymal and/or peripancreatic necrosis). CT should be performed ≥48-72h after onset for accurate necrosis assessment.
CollectionTimingDefinition
Acute peripancreatic fluid (APFC)<4 wkInterstitial pancreatitis; no wall; homogeneous
Pseudocyst>4 wkEncapsulated fluid; well-defined wall; from APFC
Acute necrotic collection (ANC)<4 wkNecrotizing pancreatitis; contains heterogeneous debris
Walled-off necrosis (WON)>4 wkEncapsulated necrosis; endoscopic/surgical drainage
Balthazar Grade & CT Severity Index (CTSI)
Balthazar GradeCT FindingScore
ANormal pancreas0
BFocal or diffuse pancreatic enlargement1
CPancreatic inflammation with peripancreatic fat changes2
DSingle peripancreatic fluid collection3
E≥2 peripancreatic fluid collections or gas in/adjacent to pancreas4
NecrosisScoreCTSI = Balthazar + Necrosis (max 10)
None00–3: Mild
4–6: Moderate
7–10: Severe
Higher CTSI correlates with increased morbidity and mortality
<30%2
30–50%4
>50%6
📋 Reporting Checklist — Pancreatitis
Gastrointestinal Volvulus
Sigmoid volvulus: Massively dilated sigmoid colon >6 cm, apex pointing toward RUQ ("coffee bean" or "bent inner tube" pointing right), loss of haustral markings, convergence of walls at twist site. Cecal volvulus: ileocecal junction identified out of position (cecum absent from RLQ), dilated cecum in left upper abdomen, "coffee bean" opening toward LUQ. Both require urgent decompression or surgery.
TypeImaging SignsNotes
Sigmoid volvulusMassively dilated inverted U-shaped sigmoid loop; apex points to RUQ; "coffee bean" or "bent inner tube" sign on XR; convergence of walls at left pelvis (twist site); loss of haustra; CT: whirl sign at twist, beak sign, dilated sigmoid >6 cm; often massive colonic dilationMost common volvulus (60–75%); elderly/institutionalized patients; chronic constipation; sigmoid redundancy; endoscopic decompression often successful; high recurrence; sigmoidectomy definitive
Cecal volvulusCecum absent from RLQ; dilated ovoid gas-filled cecum in left mid-abdomen or LUQ; "coffee bean" opening toward LUQ; small bowel dilation; CT: whirl sign at ileocecal junction; cecum >10 cm; dilated terminal ileum; appendix may be visible with cecumSecond most common volvulus (25–40%); younger patients; congenital lack of retroperitoneal fixation; right hemicolectomy required; endoscopic decompression generally not definitive; high failure/recurrence rate; cecal bascule variant (folding without twisting)
Gastric volvulus — organoaxialStomach rotates around long axis (cardiopyloric axis); greater curvature flips superiorly; two air-fluid levels on upright CXR (double bubble); inversion of stomach; NGT cannot be passed; associated with diaphragmatic defectMore common type; associated with paraesophageal/diaphragmatic hernia; Borchardt triad: severe epigastric pain + retching without vomiting + inability to pass NGT; surgical emergency if strangulation
Gastric volvulus — mesenteroaxialRotation around short axis (perpendicular to cardiopyloric axis); antrum rotates anteriorly and superiorly; intermittent symptoms; partial obstruction patternLess common; often intermittent and partial; associated with diaphragmatic eventration; may reduce spontaneously; surgical repair of predisposing defect
📄Peterson CM et al. Volvulus of the gastrointestinal tract. AJR. 2009;192(2):W105-15.
📄Radiopaedia — Sigmoid volvulus
📄Radiopaedia — Gastric volvulus (with diagrams)
Acute Body MRI

Hepatobiliary Emergencies

ConditionKey MRI FindingsTips
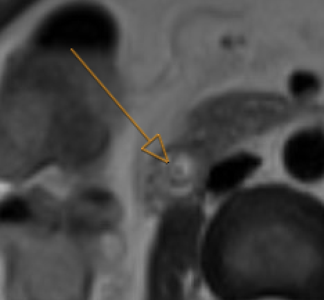
Choledocholithiasis T2-hypointense filling defect in bile duct on MRCP. Obstructive: upstream dilatation, abrupt caliber change. Trace entire biliary system on thin MRCP/T2W
MRCP showing T2-hypointense filling defect in common bile duct consistent with choledocholithiasis
Choledocholithiasis: T2-dark filling defect (arrow) on MRCP
GB neck and cystic duct are blind spots. Pneumobilia can mimic calculi (nondependent, blooms on GRE). Crossing vessel on coronal MRCP can mimic filling defect — check axial reformats
Gangrenous cholecystitis Focal GB wall nonenhancement or discontinuity; intramural abscess (rim-enhancing + diffusion-restricting collection); contained perforation
MRI showing focal gallbladder wall nonenhancement consistent with gangrenous/necrotizing cholecystitis
Gangrenous cholecystitis: focal wall nonenhancement
Abscess: rim enhancement + central DWI restriction. Hematoma: central DWI restriction but no rim enhancement + T1 hyperintensity
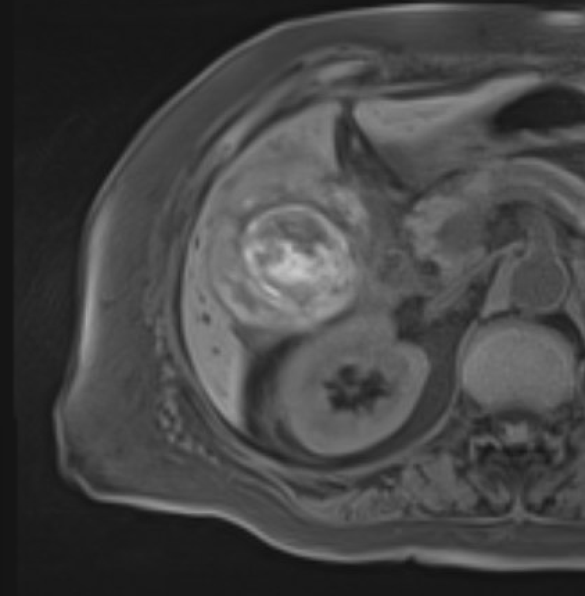
Hemorrhagic cholecystitis Distended GB with T1-hyperintense and T2-hypointense contents; blooming on T2* GRE; active bleed on subtraction images. No enhancement within hematoma itself
MRI T1W showing T1-hyperintense contents in gallbladder consistent with hemorrhagic cholecystitis
T1W: hyperintense blood products
Both hemorrhage and inspissated bile are T1-bright — use GRE blooming to distinguish. Check subtraction images for active extravasation
Bile leak / biloma T2W MRCP: delineate anatomy. Gadoxetate (Eovist) hepatobiliary phase: extravasation of excreted contrast from duct into collection. Add 60–90 min delayed phase if 20–30 min scan is negative
Gadoxetate hepatobiliary phase MRI showing bile leak extravasation
20 min HBP: leak site identified
Delayed gadoxetate MRI confirming bile extravasation into collection
Delayed: extravasation confirmed
Avoid gadoxetate if bilirubin >3 mg/dL, severe hepatic failure, or competing drugs (methotrexate, tamoxifen, cisplatin)
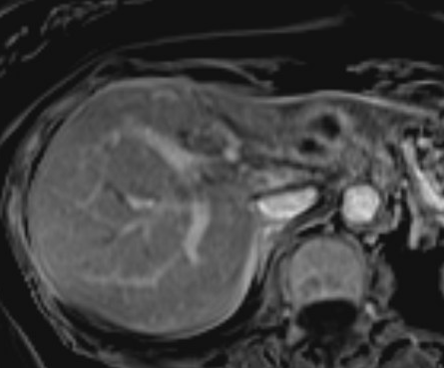
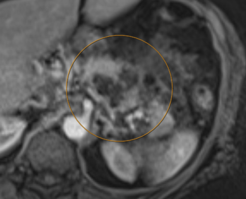
Hepatic abscess Rim-enhancing collection + central diffusion restriction; double-target sign; perilesional hyperemia (arterial phase)
MRI showing hepatic abscess with rim enhancement and central diffusion restriction
Hepatic abscess: rim enhancement
Overlaps with cystic metastases — abscess favored by clinical context (fever, leukocytosis, recent biliary intervention). Short-term follow-up if unclear
Hemorrhagic hepatic lesion Lesion with T1-hyperintense and T2-hypointense blood products; blooming on GRE; nonenhancing hemorrhagic component on subtraction. Look for enhancing viable tumor around hematoma HCC: check for tumor-in-vein (thrombus enhances like primary tumor). Adenoma: young women, OCP use, peripheral enhancement pattern. Subtraction mandatory when T1 hyperintensity is present

Quick Reference: Peliosis Hepatis vs. Hepatic Abscess

⚠ Critical safety note: Misdiagnosing peliosis hepatis (PH) as abscess and performing percutaneous drainage can cause life-threatening hemorrhage from the blood-filled sinusoidal cavities. When imaging is equivocal, biopsy (transjugular preferred) rather than drainage.
FeaturePeliosis HepatisHepatic Abscess
Clinical Usually incidental/asymptomatic (70–92%); associated condition (malignancy, steroids, OCP, HIV). Normal or mildly elevated LFTs. No fever. Fever (>90%), RUQ pain, leukocytosis, elevated ALP/bilirubin. Identifiable source (biliary disease, portal pyemia, post-procedural).
Enhancement pattern Progressive centrifugal/centripetal filling; becomes isodense to liver on delayed phase — reflects slow blood pooling Persistent rim enhancement with non-enhancing necrotic center; rim does not fill in on delayed phases
DWI/ADC No restricted diffusion; ADC ≈ 1.5 × 10⁻³ mm²/s (freely mobile blood) Restricted diffusion; low ADC ≈ 0.9–1.1 × 10⁻³ mm²/s (viscous pus)
T2 signal Mildly hyperintense (similar to or slightly above liver) Markedly hyperintense (approaching CSF brightness)
Perilesional changes No perilesional edema; ill-defined margins blending with parenchyma Perilesional edema (T2 halo); wedge-shaped perilesional arterial hyperemia; well-defined sharp border
T1W Hypointense; may have T1-bright foci (subacute blood products) Hypointense throughout
Internal features No gas; no septations; may show internal vascular structures Gas bubbles ± fluid levels; internal septations possible
Margins Ill-defined, not well-demarcated Well-defined, sharp borders
Hepatobiliary phase Hypointense Hypointense ± perilesional enhancement
MRI showing peliosis hepatis — unenhanced phase with hypodense hepatic lesions
PH — Pre-contrast: hypointense lesions, ill-defined margins
MRI showing peliosis hepatis — early post-contrast with peripheral nodular filling pattern
PH — Early: peripheral nodular fill-in (centripetal)
MRI showing peliosis hepatis — delayed phase becoming isointense to liver parenchyma
PH — Delayed: fills in, approaches liver isointensity

Key pearl: No DWI restriction + progressive delayed fill-in + ill-defined margins + asymptomatic = peliosis until proven otherwise. Restricted diffusion + persistent rim + perilesional edema + fever/leukocytosis = abscess.

Bacillary peliosis (Bartonella henselae in HIV/AIDS) can present with fever mimicking abscess — but shows the vascular fill-in pattern. Responds to erythromycin or doxycycline.

Management:

Pancreatic Emergencies

ConditionKey MRI FindingsTips
Acute interstitial edematous pancreatitis Pancreatic edema (loss of normal T1 hyperintensity) + peripancreatic fluid on T2W + preserved parenchymal enhancement on post-Gd
MRI showing acute interstitial edematous pancreatitis with loss of T1 signal and peripancreatic fluid
IEP: loss of T1 signal, preserved enhancement, peripancreatic fluid
Normal pancreas is T1-bright (brighter than liver). Loss of T1 signal = edema/inflammation. DWI restriction is sensitive for early pancreatitis. India ink artifact on out-of-phase shows subtle fat stranding
Acute necrotizing pancreatitis Lack of parenchymal enhancement on post-Gd = necrosis. Hemorrhage: T1 hyperintensity + GRE blooming. Vascular complications: thrombosis (filling defect on bSSFP/post-Gd), pseudoaneurysm
MRI showing acute necrotizing pancreatitis with lack of parenchymal enhancement
Necrotizing pancreatitis: nonenhancing parenchyma = necrosis
Pitfall: Diffuse hemorrhagic necrosis can appear T1-bright, mimicking normal pancreas. Always check post-Gd for absent enhancement and T2W for necrosis
Pancreatic trauma Full-thickness laceration = T2-hyperintense linear signal disrupting parenchyma. Trace pancreatic duct on T2W axial images (MRCP often limited by surrounding fluid) Ductal injury (AAST Grade III+) = surgical indication. MRI better than CT for delineating duct integrity. Contusions (Grade I/II) without duct injury → conservative

Bowel & Peritoneal

ConditionKey MRI Findings
Appendicitis (pregnancy) Dilated appendix ≥7 mm, wall thickness >2 mm, periappendiceal fluid/fat stranding on T2W. Appendicolith: T2-hypointense filling defect (confirm on bSSFP). Appendix migrates cranially with gestational age. Sensitivity 94%, specificity 97%
MRI T2W showing dilated appendix with periappendiceal fluid and wall thickening consistent with appendicitis
Appendicitis: dilated appendix, periappendiceal stranding
Diverticulitis Colonic wall thickening >3 mm with diverticula; pericolic fat stranding on T2W FS; abscess: rim-enhancing + DWI-restricting collection. MRI sensitivity 86–94%, specificity 88–92%. Better soft-tissue resolution for fistula, oophoritis
MRI showing sigmoid diverticulitis with colonic wall thickening and pericolic fat stranding on T2W fat-saturated sequence
Diverticulitis: wall thickening, pericolic T2 stranding
Crohn complications Stricture: wall thickening >3 mm + luminal narrowing >50% + upstream dilatation. Penetrating: sinus tract, fistula, phlegmon, abscess (rim enhancement + DWI restriction). Active inflammation: wall edema + hyperenhancement on T2W FS and post-Gd
Perianal fistula Small-FOV T2W FSE along anal canal is key. Report: tract type (Parks classification — intersphincteric / transsphincteric / suprasphincteric / extrasphincteric), internal and external openings, branches, abscess. DWI + post-Gd for abscess vs granulation vs fibrosis
Small-FOV T2W MRI showing perianal fistula tract with internal opening at dentate line
Perianal fistula: T2W tract, internal opening, sphincter relation
Pneumoperitoneum Subtle T2-hypointense foci in peritoneal cavity. Air-fluid levels. Susceptibility artifact on bSSFP and T1W GRE sequences. Can be easily missed — look for abnormal extraenteric T2-dark foci
MRI showing pneumoperitoneum with T2-hypointense foci and susceptibility artifact on gradient echo sequence
Pneumoperitoneum: T2-dark extraenteric foci, GRE susceptibility

Renal & GU Emergencies

ConditionKey MRI Findings
Pyelonephritis Wedge-shaped T2 hyperintensity with striated nephogram; wedge-shaped hypoenhancement on post-Gd; wedge-shaped DWI restriction. Abscess: rim-enhancing collection with central DWI restriction
MRI showing pyelonephritis with wedge-shaped T2 hyperintensity and striated nephrogram pattern
Pyelonephritis: wedge-shaped diffusion restriction
Renal infarct Wedge-shaped nonenhancement with cortical rim sign (preserved capsular vessel enhancement); cortical DWI restriction
MRI showing renal infarct with wedge-shaped cortical nonenhancement
Renal infarct: wedge-shaped nonenhancement
Delayed MRI showing cortical rim sign in renal infarct with preserved capsular vessel enhancement
Delayed: cortical rim sign
Urolithiasis (pregnancy) Hypointense filling defect in dilated ureter — better seen on bSSFP than T2W. Distinguish from physiologic hydroureteronephrosis (gradual tapering at pelvic brim, right > left)
Spontaneous renal hemorrhage
(Wünderlich syndrome)
Subcapsular/perirenal T1-hyperintense collection with T2 signal heterogeneity. Subtraction images mandatory to exclude underlying enhancing neoplasm (AML, RCC most common causes)

OB/GYN Emergencies

ConditionKey MRI Findings
Placental abruption Retroplacental or subchorionic hematoma: T1-hyperintense blood products (T1 better than T2 for hemorrhage detection). T2 can underestimate hemorrhage extent. bSSFP may show subchorionic hematoma better than T2
Ectopic pregnancy Gestational sac outside endometrial cavity on T2W. Locations: tubal (most common), cornual, cervical, cesarean scar. MRI localizes ectopic precisely when US is indeterminate. Cesarean scar ectopic: sac in lower uterine segment scar, residual myometrium <2 mm = rupture risk
Ovarian torsion (pregnancy) Enlarged ovary with peripheral follicles and stromal edema on T2W. Pelvic ascites. Compare with contralateral ovary. Whirlpool sign of twisted pedicle
MRI showing ovarian torsion with enlarged ovary, peripheral follicles, and stromal edema on T2W
Ovarian torsion: enlarged ovary, peripheral follicles, stromal edema
Postpartum hemorrhage — RPOC vs UVA RPOC: enhancing endometrial tissue (≤ myometrium = moderate; > myometrium = hypervascular). Serial β-hCG decreases. UVA/AVF: serpiginous flow voids, early draining vein on time-resolved MRA. Low-flow UVA: myometrial blush without early draining vein
MRI in pregnancy — key principles: Safe at ≤3 T (prefer 1.5 T in 1st trimester). GBCAs are FDA Class C — avoid unless benefit clearly outweighs risk; use lowest dose of macrocyclic Group II GBCA with informed consent. Non-contrast sequences (T2W SSFSE, DWI, bSSFP, T1W) are sufficient for most acute indications. For renal failure (eGFR <15): Group II GBCAs can be used after risk-benefit discussion; space injections ≥7 days apart.
📄Panda A, Aswani Y, Heming CAM, et al. On-Call Body MRI: A Primer. RadioGraphics. 2025;45(1).