RC
RadCall Procedure Guide
← Procedure Library
Procedure Playbook

Ultrasound-Guided Thoracentesis

Diagnostic and therapeutic drainage of pleural effusions under real-time ultrasound guidance.

Sedation
Local anesthesia
Bleeding Risk
Low (SIR Cat 1)
Key Risk
Pneumothorax · RPE
Antibiotics
Not routine
Follow-up
CXR if symptomatic
1

Indications / Contraindications

Indications

  • Diagnostic: New unilateral effusion of unclear etiology — fluid analysis to differentiate transudate vs. exudate (Light's criteria)
  • Therapeutic: Symptomatic large effusion causing dyspnea — remove up to 1–1.5 L for relief
  • Suspected empyema or complicated parapneumonic effusion — obtain pH, glucose, cell count, culture
  • Suspected malignant effusion — cytology (sensitivity ~60–75% with adequate volume)
  • New effusion in cirrhotic patient — rule out spontaneous bacterial empyema

Contraindications

  • Absolute: No safe access window on US · Patient unable to cooperate or be positioned
  • Relative: Overlying cellulitis/herpes zoster · Severe coagulopathy (INR >3.0 or platelets <20K per SIR) · Mechanical ventilation (increased pneumothorax risk — use real-time US) · Single functioning lung on contralateral side
  • Note: Per BTS guidelines, the only absolute contraindication is patient refusal. Coagulopathy and anticoagulation are relative and should be weighed against clinical need
2

Pre-Procedure Checklist

Review imaging. Confirm effusion on CXR or CT. Estimate volume. Note loculations, underlying lung disease, or elevated hemidiaphragm. Check for contralateral lung pathology.
Labs (SIR Category 1 — low risk). INR <3.0, platelets >20K per SIR 2019 guidelines. Routine coagulation correction is NOT required for simple thoracentesis.
Anticoagulation. Thoracentesis is a low-risk procedure — anticoagulation does NOT routinely need to be held. Proceed with caution in patients on therapeutic anticoagulation; consider holding only if high bleeding risk features (e.g., small pocket, difficult access, severe coagulopathy).
Positioning plan. Patient seated upright, leaning forward over a bedside table — opens posterior intercostal spaces. If unable to sit: lateral decubitus (affected side up) or supine with head of bed elevated 30–45°.
Consent. Discuss: pneumothorax (2–6%), bleeding/hemothorax (<1%), reexpansion pulmonary edema (rare but potentially fatal), organ injury (liver/spleen), infection, pain.
Fluid analysis plan. Decide which tests to send: cell count/diff, protein, LDH (for Light's criteria), pH, glucose, gram stain/culture, +/- cytology, amylase, triglycerides, hematocrit.
3

Relevant Anatomy

Access Site

  • Ideal location: Posterior chest wall, between the posterior axillary line and midscapular line, 1–2 interspaces below the effusion level
  • Patient seated upright — insert needle in the intercostal space just above the superior margin of the lower rib (avoids neurovascular bundle)
  • Never below the 8th intercostal space posteriorly to avoid subdiaphragmatic organs (liver R, spleen L)
  • Lateral approach (mid-axillary line) is an alternative if posterior approach unavailable
  • Always confirm with US — the landmark guides initial probe placement, but final access is determined by the largest safe fluid pocket

Danger Structures

  • Intercostal neurovascular bundle: Runs along the inferior margin of each rib (vein, artery, nerve). Always access above the rib, not below
  • Aberrant intercostal arteries: In elderly patients, vessels can course more medially in the intercostal space — use Color Doppler to map before access
  • Diaphragm: Mark the apex at end-expiration with US. Never puncture below this level
  • Subdiaphragmatic organs: Liver (R), spleen (L) — confirm with US sweep below diaphragm
  • Lung parenchyma: Identify atelectatic lung floating in fluid — do not advance needle into reexpanding lung
4

Technique

Default RadCall approach · share your own below

RadCall Standard Default

Supplies

Ultrasound + curvilinear probe Sterile probe cover + gel ChloraPrep or Betadine Sterile drape + towels 1–2% lidocaine 25G needle (skin wheal) 22G spinal needle (deep anesthesia) Thoracentesis needle/catheter kit 60 mL syringe 3-way stopcock Vacuum bottles + tubing Specimen tubes Blood culture bottles Sterile dressing

Steps

1

Position + US survey

Patient seated upright, leaning forward over bedside table. US survey to identify largest fluid pocket. Confirm diaphragm position at end-expiration. Measure skin-to-fluid depth. Evaluate for septations, loculations, and nearby lung. Color Doppler to exclude aberrant intercostal vessels at planned access site.
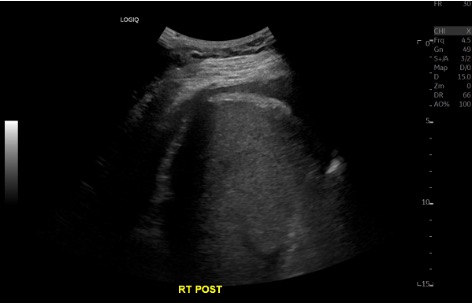
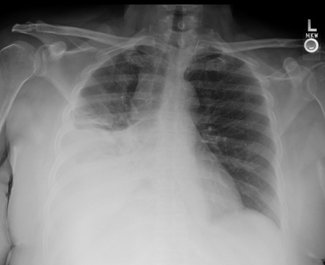
US survey — effusion + pre/post
Pre-procedure ultrasound showing right pleural effusion Pre-procedure CXR showing large left pleural effusion
2

Prep + drape

Mark optimal access site on skin. Sterile prep with ChloraPrep (allow to dry). Drape access site. Apply sterile cover to US probe. Patient should not move or change position after marking.
3

Local anesthesia

Raise skin wheal with 25G needle. Switch to 22G spinal needle — anesthetize tract from skin down to parietal pleura, advancing just above the superior rib margin. Aspirate as you advance — flash of pleural fluid confirms you've reached the pleural space. Note the depth. Inject lidocaine at the pleura (richly innervated).
4

Access

Insert thoracentesis needle/catheter along the anesthetized tract under real-time US guidance, advancing just above the rib. Aspirate as you advance. Once fluid returns, advance the outer catheter sheath and remove the inner stylet. Connect to 3-way stopcock.
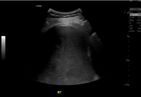
Catheter placement under US
Ultrasound during thoracentesis showing catheter in right pleural effusion
5

Diagnostic sample

Aspirate 25–50 mL for diagnostic labs via the stopcock side port using a 60 mL syringe. For cytology, collect at least 60–200 mL for adequate cellularity. Inoculate blood culture bottles at bedside if infection suspected. Send: cell count/diff, protein, LDH, pH, glucose, gram stain + culture.
6

Therapeutic drainage

Connect catheter to vacuum bottles via 3-way stopcock and tubing. Drain by gravity or gentle suction. Monitor patient for cough, chest tightness, or dyspnea — stop if symptomatic. Limit to 1–1.5 L for first-time thoracentesis to reduce reexpansion pulmonary edema risk. Use low negative pressure (<−20 cm H₂O).
7

Completion

Clamp tubing, remove catheter at end-expiration. Apply sterile occlusive dressing. Document fluid color, volume, and appearance. Perform post-procedure US at bedside to confirm lung sliding (rules out pneumothorax). Routine CXR not required if uncomplicated — obtain only if symptomatic or clinical concern.
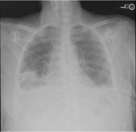
Post-procedure imaging
Post-procedure ultrasound showing reduced right pleural effusion Post-procedure CXR showing interval improvement after thoracentesis
Browse Card Library →
Sign in to view and create community cards
5

Troubleshooting

Problem

No fluid return / dry tap

Likely cause: Needle not deep enough, loculated effusion, or patient repositioned since marking.

Next step: Re-image with US in real-time. Confirm pocket is still present at the access site. Adjust depth or angle. If loculated, select a different pocket or consider IR-guided drainage with CT.

Problem

Bloody aspirate

Likely cause: Traumatic tap (intercostal vessel laceration), hemorrhagic effusion (malignancy, PE, trauma), or hemothorax.

Next step: Send fluid hematocrit. If aspirate Hct is >50% of serum Hct, consider hemothorax — stop procedure and consult surgery. If <1% of serum Hct, likely traumatic. Bloody fluid that does not clot suggests long-standing hemorrhagic effusion (malignancy).

Problem

Patient develops cough or chest tightness during drainage

Likely cause: Lung reexpansion stimulating pleural receptors, or early reexpansion pulmonary edema.

Next step: Stop drainage immediately. This is the most important indicator to terminate the procedure. Monitor vitals and oxygen saturation. Perform bedside US to check for pneumothorax. If cough resolves and patient is stable, may cautiously resume with slower drainage rate.

Problem

Loculated effusion — unable to drain completely

Likely cause: Fibrinous septations within pleural space (parapneumonic, empyema, malignancy).

Next step: Consider chest tube placement with intrapleural fibrinolytic therapy (tPA 10 mg + DNase 5 mg BID × 3 days). Alternatively, CT-guided access for loculated pockets. VATS may be needed for organized collections.

6

Complications

Immediate

  • Pneumothorax (2–6%) — most common complication; US-guided rate ~3% vs. ~18% blind; usually pneumothorax ex vacuo (non-expandable lung), not air leak
  • Bleeding / hemothorax (<1%) — intercostal vessel laceration; may require embolization of intercostal artery
  • Pain — at insertion site or pleuritic; ensure adequate local anesthesia at parietal pleura
  • Vasovagal reaction — especially in seated patients; have patient lie down if symptomatic

Delayed

  • Reexpansion pulmonary edema (RPE) — rare but potentially fatal; risk increases with >1.5 L drainage, rapid removal, or use of high negative pressure. Can occur 12–72h post. Presents with cough, dyspnea, frothy sputum, ipsilateral pulmonary edema on CXR
  • Organ injury — liver (R), spleen (L), diaphragm perforation if access too low
  • Infection / empyema — rare with sterile technique
  • Pneumothorax ex vacuo — trapped lung fails to reexpand; creates negative intrapleural pressure; self-limited, usually does not require chest tube
7

Post-Procedure Care

Monitoring

  • Monitor vitals and oxygen saturation for 1–2 hours
  • Post-procedure US at bedside: confirm lung sliding to rule out pneumothorax
  • Routine post-procedure CXR is NOT required for uncomplicated thoracentesis — obtain only if symptomatic (new dyspnea, chest pain, desaturation)
  • Document fluid color, clarity, and total volume removed
  • Monitor for RPE signs: cough, dyspnea, desaturation up to 24–72h post

Reexpansion Pulmonary Edema Prevention

  • Limit drainage: No more than 1–1.5 L in first-time/naive patients
  • Stop if symptomatic: Cough, chest tightness, or dyspnea = stop immediately
  • Low negative pressure: Use <−20 cm H₂O during drainage
  • Slow drainage: Favor gradual removal over rapid high-volume aspiration
  • Anticoagulation: Resume 24 hours post-procedure (earlier if high thrombotic risk)
8

Critical Pearls

Above the rib, never below: The intercostal neurovascular bundle (vein, artery, nerve) runs along the inferior margin of each rib. Always direct your needle just above the superior edge of the lower rib to avoid these structures.
US reduces pneumothorax from ~18% to ~3%: Real-time US guidance dramatically reduces pneumothorax compared to blind thoracentesis. Always use US — even for large effusions.
Most post-thoracentesis pneumothorax is ex vacuo, not air leak: In US-guided procedures, pneumothorax is most commonly from non-expandable (trapped) lung — not from traumatic needle injury. These are generally self-limited and do not require chest tube.
Cough = stop: New cough or chest tightness during drainage is the single most important signal to stop. This may indicate early reexpansion pulmonary edema or pleural irritation from lung contact with the needle.
Blood culture bottles at bedside: For suspected empyema or parapneumonic effusion, inoculate aerobic and anaerobic blood culture bottles directly with pleural fluid at the bedside — dramatically increases culture yield over standard lab tubes.
Lung sliding = no pneumothorax: Post-procedure, check for lung sliding at the anterior chest. Presence of sliding or B-lines effectively rules out pneumothorax. Absence of sliding + "lung point" = pneumothorax. This is faster and more sensitive than CXR.
Color Doppler before you stick: In elderly patients, intercostal arteries can be tortuous and course medially into the intercostal space. A quick Color Doppler sweep at the planned access site can prevent a life-threatening hemorrhage.
9

Fluid Analysis Reference

Light's Criteria — Exudate if ANY one met

  • Pleural fluid protein / serum protein > 0.5
  • Pleural fluid LDH / serum LDH > 0.6
  • Pleural fluid LDH > ⅔ the upper normal limit of serum LDH
TestTransudateExudate
AppearanceSerous, clearCloudy, turbid, bloody, or purulent
Leukocyte count<10,000/mm³>50,000/mm³ (empyema)
pH>7.4<7.2 = high risk CPPE/empyema → consider drain
Protein<3.0 g/dL>3.0 g/dL
LDH<200 IU/L>200 IU/L (↑ with infection, malignancy)
Glucose≥60 mg/dL<60 mg/dL (infection, RA, malignancy); <40 = empyema
AmylaseNormalElevated: esophageal rupture, pancreatitis, malignancy
Triglycerides>110 mg/dL = chylothorax (lymphatic disruption)
HematocritPleural Hct >50% serum = hemothorax
CytologyMalignant cells; sensitivity ~60–75% (improves with volume >60 mL)
Gram stain / cultureInoculate blood culture bottles at bedside for best yield

Common Etiologies

Transudative

  • Congestive heart failure (most common)
  • Cirrhosis / hepatic hydrothorax
  • Nephrotic syndrome
  • Hypoalbuminemia

Exudative

  • Pneumonia / parapneumonic
  • Malignancy (lung, breast, lymphoma)
  • Pulmonary embolism
  • TB / autoimmune (RA, lupus)
9

References & Resources

Primary sources · Key data · Related procedures

Key Guidelines

  • BTS guidelines for investigation of unilateral pleural effusion
  • ACCP guidelines

Primary References

  • Havelock T, Teoh R, Laws D, Gleeson F; BTS Pleural Disease Guideline Group. Pleural procedures and thoracic ultrasound: British Thoracic Society Pleural Disease Guideline 2010. Thorax. 2010;65(Suppl 2):ii61–76.
  • Feller-Kopman D, Berkowitz D, Boiselle P, Ernst A. Large-volume thoracentesis and the risk of reexpansion pulmonary edema. Ann Thorac Surg. 2007;84(5):1656–1661.
  • Patel PA, Ernst FR, Gunnarsson CL. Evaluation of hospital complications and costs associated with using ultrasound guidance during abdominal paracentesis procedures. J Med Econ. 2012;15(1):1–7.