RC
RadCall Procedure Guide
← Procedure Library
Procedure Playbook

Ultrasound-Guided Paracentesis

Diagnostic and therapeutic drainage of peritoneal ascites under real-time ultrasound guidance.

Sedation
Local anesthesia
Bleeding Risk
Low (SIR Cat 1)
Key Risk
Ascites leak · PPCD
Antibiotics
Not routine
Follow-up
Vitals q30min × 1h
1

Indications / Contraindications

Indications

  • Diagnostic: New-onset ascites of unclear etiology — fluid analysis to determine cause
  • Therapeutic: Symptomatic tense ascites causing dyspnea, abdominal pain, early satiety
  • Concern for spontaneous bacterial peritonitis (SBP) — obtain cell count + culture
  • Drainage of loculated fluid collections not amenable to catheter

Contraindications

  • Absolute: Hemodynamic instability · Uncorrectable coagulopathy · No safe access window
  • Relative: Overlying cellulitis/skin infection · Surgical scars at access site (tethered bowel risk) · Pregnancy (use US guidance, avoid gravid uterus) · Massive organomegaly
  • Note: Mild-moderate coagulopathy and thrombocytopenia common in cirrhotic patients and are generally NOT contraindications — routine lab correction is not required for simple paracentesis
2

Pre-Procedure Checklist

Review imaging. Confirm ascites volume and distribution. Identify largest accessible pocket. Note surgical scars (tethered bowel risk).
Labs (SIR Category 1 — low risk). Routine coagulation labs NOT required for simple paracentesis. Check INR/platelets only if: bleeding diathesis, severe liver dysfunction, or anticoagulated. If checked: INR <2.0, platelets >50K.
Anticoagulation. Hold oral/IV anticoagulation when medically appropriate. Hold antiplatelets (except aspirin/NSAIDs). Heparin: hold 4–6h; LMWH: hold 24h; Warfarin: hold 5d; DOACs: hold 24–48h.
IV access. Required for large-volume paracentesis (>5 L). Plan for albumin replacement: 6–8 g/L of fluid removed in cirrhotic patients to prevent post-paracentesis circulatory dysfunction.
Consent. Discuss: bleeding, infection, bowel perforation, ascites leak, post-paracentesis circulatory dysfunction (hypotension, hyponatremia, renal impairment).
Fluid analysis plan. Decide which tests to send: cell count/diff, albumin (for SAAG), total protein, gram stain/culture, +/- cytology, amylase, triglycerides, bilirubin, LDH.
3

Relevant Anatomy

Access Site

  • Ideal landmark: 3 cm medial and 3 cm superior to the ASIS — lateral to the rectus sheath (linea semilunaris), in the LLQ or RLQ
  • Avoids the inferior epigastric artery (runs deep to rectus abdominis within the rectus sheath)
  • LLQ often preferred — sigmoid colon tends to float; cecum in RLQ may be more fixed
  • Midline infraumbilical approach is an alternative if lateral approach unavailable (avascular linea alba)
  • Always confirm with US — the landmark guides initial probe placement, but final access site is determined by the largest safe fluid pocket

Danger Structures

  • Inferior epigastric artery: Runs within the rectus sheath — always access lateral to rectus to avoid
  • Distended bladder: Ensure patient has voided or has Foley prior to procedure
  • Tethered bowel: Surgical scars may cause bowel adhesion to anterior abdominal wall — US to confirm clear window
  • Organomegaly: Splenomegaly (LLQ) or hepatomegaly (RUQ) — confirm on US before access
4

Technique

Default RadCall approach · share your own below

RadCall Standard Default

Supplies

Ultrasound + sterile probe cover ChloraPrep Sterile drape 1% lidocaine 22G needle (anesthesia) Paracentesis needle/catheter kit (sheathed) 60 mL syringe Vacuum bottles + tubing Specimen tubes Sterile dressing

Steps

1

Position + US survey

Patient supine. Perform US survey to identify largest accessible fluid pocket. Confirm no bowel or vessels in intended path. Mark skin entry site. Measure depth to fluid.
Access site landmark
Paracentesis access site: 3 cm medial and 3 cm superior to ASIS, lateral to rectus sheath
Ideal access: 3 cm medial and 3 cm superior to the ASIS. Lateral to the rectus sheath to avoid the inferior epigastric artery.
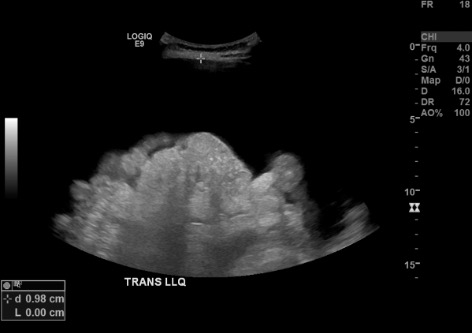
US survey — LLQ fluid pocket + Doppler
Color Doppler US of LLQ showing vessel check at planned paracentesis access site B-mode US measuring distance from skin to ascitic fluid pocket in LLQ B-mode US confirming no vessels along needle trajectory in LLQ
2

Prep + drape

Sterile prep with ChloraPrep. Drape access site. Apply sterile cover to US probe.
3

Local anesthesia

Anesthetize skin to peritoneum with 1% lidocaine using 22G needle under US guidance. Do not puncture peritoneum — infiltrate up to it and withdraw.
Z-track technique
Z-track needle insertion technique for paracentesis
Z-track: Pull skin 2 cm caudally before inserting needle. Release skin after withdrawing needle — creates an oblique tract that self-seals, reducing post-procedure ascites leak.
4

Access

Create 3–5 mm skin nick. Advance sheathed paracentesis needle into peritoneal cavity under real-time US guidance. Aspirate to confirm free-flowing fluid.
US-guided needle insertion
Ultrasound-guided needle insertion for paracentesis showing needle tip in anechoic fluid
Real-time US guidance: keep the needle in the plane of the beam. Visualize the bright echogenic needle tip entering the anechoic fluid pocket. Confirm ≥3 cm fluid depth and absence of bowel before advancing.
5

Sample collection

Aspirate 60 mL for diagnostic labs. For cytology, collect ≥200 mL for adequate cellularity. Send: cell count/diff, albumin, total protein, gram stain + culture (inoculate blood culture bottles at bedside).
6

Therapeutic drainage

Remove inner needle, connect sheath to vacuum bottles via valved tubing. Reposition patient as needed. Apply gentle contralateral abdominal pressure to facilitate complete drainage.
Drainage setup
Paracentesis therapeutic drainage setup with vacuum bottles and specimen collection
Connect catheter hub → stopcock → vacuum bottles (1 L each, placed below patient). Use the stopcock side port with a 60 mL syringe for diagnostic specimen collection. Remember albumin replacement (6–8 g/L) if >5 L removed in cirrhotic patients.
7

Completion

Remove catheter. Apply dry sterile dressing or Dermabond if leak concern. Document fluid color, volume, and appearance. For >5 L: begin albumin infusion (6–8 g per L removed).
Browse Card Library →
Sign in to view and create community cards
5

Troubleshooting

Problem

No fluid return after needle insertion

Likely cause: Needle not deep enough, loculated fluid, or bowel interposition.

Next step: Confirm needle tip position with real-time US. Adjust depth or angle. If loculated, reposition patient or select a different pocket. Consider using a longer needle if abdominal wall is thick.

Problem

Bloody aspirate

Likely cause: Traumatic tap (vessel laceration) vs. pre-existing hemorrhagic ascites (malignancy, anticoagulation).

Next step: If bloody on initial aspiration, send fluid for hematocrit — if ascites Hct is <1% of serum Hct, likely traumatic. If persistent bright red blood, stop procedure and monitor. Hemorrhagic ascites (malignancy) will not clot in the tube; traumatic tap will.

Problem

Persistent ascites leak at puncture site

Likely cause: Most common complication (~5%). Due to persistent communication between peritoneal cavity and skin through needle tract.

Next step: Apply Dermabond or purse-string suture. Position patient on contralateral side to shift fluid away. An ostomy bag can be applied as temporizing measure. Consider Z-track technique for future access.

Problem

Flow stops during drainage

Likely cause: Catheter kinked, omentum or bowel plugging side holes, fluid redistributing.

Next step: Reposition patient (roll toward catheter side). Gently flush with saline. Apply gentle abdominal pressure contralaterally. If still no flow, may need to reposition catheter under US.

6

Complications

Immediate

  • Ascites leak (~5%) — most common; Dermabond, suture, or ostomy bag
  • Bleeding (<1%) — vessel laceration; figure-of-eight suture at entry site; laparotomy rarely needed
  • Bowel perforation (<1%) — usually self-sealing; monitor for peritonitis signs
  • Hypotension — from rapid large-volume removal without albumin replacement

Delayed

  • Post-paracentesis circulatory dysfunction (PPCD) — hypovolemia, hyponatremia, renal impairment after large-volume drainage without albumin; can occur 12–72 hours post
  • Infection — rare with sterile technique; cellulitis at puncture site
  • Persistent leak — may require additional closure or indwelling catheter consideration
7

Post-Procedure Care

Monitoring

  • Vitals q30 min × 1 hour (especially large-volume paracentesis)
  • Monitor puncture site for bleeding, infection, or fluid leak
  • Document fluid color, clarity, and total volume removed
  • No routine post-procedure imaging required

Albumin Replacement

  • >5 L removed in cirrhotic patient: Administer 25% albumin 6–8 g per liter of fluid removed
  • Begin infusion during or immediately after drainage
  • Prevents PPCD (hypovolemia, hyponatremia, hepatorenal syndrome)
  • Anticoagulation: Resume 24 hours post-procedure (earlier if high thrombotic risk)
8

Critical Pearls

Z-track technique: Pull the skin 2 cm caudally before inserting the needle, then release after removal. This creates a non-linear tract that reduces post-procedure ascites leak.
Lateral to rectus: Always access lateral to the rectus sheath (linea semilunaris) to avoid the inferior epigastric artery. If in doubt, use color Doppler to map the vessel.
Don't chase labs in cirrhotics: Routine coagulation testing and correction is NOT required before paracentesis in cirrhotic patients. The INR does not reliably predict bleeding risk in liver disease — these patients have a rebalanced hemostatic system.
Blood culture bottles at bedside: Inoculate aerobic and anaerobic blood culture bottles directly with ascitic fluid at the bedside — increases culture yield for SBP detection by 50–70% compared to standard lab tubes.
SAAG ≥ 1.1 = portal hypertension: Serum-ascites albumin gradient is the single most useful test. SAAG ≥1.1 g/dL has 97% accuracy for identifying portal hypertension as the cause of ascites.
Albumin matters for large volume: For >5 L drainage in cirrhotic patients, albumin replacement (6–8 g/L removed) significantly reduces PPCD, hyponatremia, and mortality. Do not skip this step.
9

Fluid Analysis Reference

TestNormal / SignificanceInterpretation
SAAG (serum - ascites albumin)≥1.1 g/dLPortal hypertension (97% accuracy): cirrhosis, heart failure, Budd-Chiari, portal vein thrombosis
<1.1 g/dLNon-portal hypertensive: malignancy, TB peritonitis, pancreatitis, nephrotic syndrome
Cell countPMN ≥250/mm³Spontaneous bacterial peritonitis (SBP) — start empiric antibiotics immediately (cefotaxime)
Total protein≥2.5 g/dLExudate (malignancy, TB, pancreatitis). <2.5 = transudate (cirrhosis, heart failure)
LDHRatio ~0.4 normalApproaches 1.0 with infection, bowel perforation, or malignancy
GlucoseLower than serumSuspect infection or malignancy; undetectable → bowel perforation
AmylaseRatio ~0.4 normalElevated with pancreatic leak or bowel perforation
BilirubinAscites > serumBiliary or bowel perforation
Triglycerides>200 mg/dLChylous ascites (lymphatic disruption, malignancy, cirrhosis)
CytologyMalignant cells; sensitivity ~60–75% with adequate volume (≥200 mL)
Gram stain / cultureInoculate blood culture bottles at bedside for best yield

Fluid Appearance

  • Clear/straw-colored: Uncomplicated transudative ascites
  • Turbid/cloudy: Infection (SBP) or high cell count
  • Milky/opalescent: Chylous ascites (elevated triglycerides) or cirrhosis
  • Pink/bloody: Traumatic tap, malignancy, or cirrhosis (check Hct)
  • Brown: Elevated bilirubin — biliary or bowel perforation
9

References & Resources

Primary sources · Key data · Related procedures

Key Guidelines

  • SIR clinical practice guideline for image-guided paracentesis
  • AASLD cirrhosis guidelines

Primary References

  • European Association for the Study of the Liver (EASL). EASL Clinical Practice Guidelines for the management of patients with decompensated cirrhosis. J Hepatol. 2018;69(2):406–460.
  • Pache I, Bilodeau M. Severe haemorrhage following abdominal paracentesis in patients with portal hypertension. Aliment Pharmacol Ther. 2005;21(5):525–529.
  • Runyon BA; AASLD. Introduction to the revised American Association for the Study of Liver Diseases Practice Guideline management of adult patients with ascites due to cirrhosis 2012. Hepatology. 2013;57(4):1651–1653.