RadCall Procedure Guide
← Back to Image-Guided Biopsy
Procedure Playbook

US-Guided Renal Biopsy

Percutaneous renal biopsy under real-time ultrasound guidance for native kidney, renal transplant, and focal renal mass histologic diagnosis.

Guidance
Ultrasound
Bleeding Risk
High (SIR Cat 3)
Key Risk
Hematoma · AV fistula
Anticoag
Hold per SIR
Follow-up
4–6h obs + repeat UA
1

Indications / Contraindications

Native Kidney Indications

  • Unexplained progressive renal failure / AKI
  • Nephrotic syndrome
  • Significant nonnephrotic proteinuria (>1 g/day)
  • Glomerular hematuria / microscopic hematuria
  • Systemic diseases with renal involvement: vasculitis, lupus (SLE), amyloid, HIV nephropathy, diabetic nephropathy with atypical features

Transplant Kidney Indications

  • Rejection evaluation (de novo or follow-up)
  • Subclinical rejection (protocol biopsy — histologic rejection may precede clinical signs)
  • Rule out recurrent or de novo glomerular disease
  • Lupus: interval biopsy post-treatment (clinical remission may overestimate histologic remission)

Focal / Mass Biopsy Indications

  • Indeterminate solid renal mass before surgical or ablative treatment
  • Bosniak category III cystic lesions (up to 39% can be benign)
  • Required before percutaneous ablation per AUA guidelines (if <3cm)
  • ~37% of solid masses referred for ablation turn out benign on biopsy

Contraindications

  • Absolute: Active pyelonephritis or overlying skin/soft tissue infection along biopsy trajectory
  • Relative: Coagulopathy (INR >1.5–1.8, platelets <50×10⁹/L); uncontrolled hypertension (SBP >140–160 mmHg — 10× increased bleeding risk; 23× if SBP >170 mmHg); hydronephrosis; atrophic kidneys; multiple cysts obscuring access
  • No longer contraindications: Solitary kidney, horseshoe kidney (given improving safety profiles)
2

Pre-Procedure Checklist

Review imaging. Prior cross-sectional imaging; for native biopsy — target lower pole (avoid hilum, collecting system); for focal mass — confirm location and plan approach.
Labs. CBC with platelets; PT/INR and PTT; type and screen; serum creatinine/eGFR.
Coagulation thresholds. INR <1.5 (standard); platelets >50×10⁹/L (>120×10⁹/L for higher-risk patients); cirrhotic patients — individualize.
Blood pressure control — critical. Target BP <140/90 mmHg before proceeding. 10× increased bleeding with SBP >140; 23× if >170; OR 75.6 if SBP >180/DBP >95. Note: calcium channel blockers, clonidine, hydralazine may impair hemostasis after vessel trauma.
Anticoagulation. Warfarin hold 5 days; LMWH hold 24h; DOACs hold 24–48h. Aspirin — nuanced: two large studies (n=5,832 and meta-analysis n>9,000) showed no significant increase in clinically relevant bleeding with continued aspirin; individualize in CKD patients (3× higher CV event risk with discontinuation).
DDAVP consideration. 0.3 mcg/kg IV over 20 min × 1h pre-biopsy in patients with eGFR <30 (mixed evidence; not used at all centers).
IV access + sedation plan. IV access required; moderate sedation (midazolam + fentanyl) or local anesthesia alone; anesthesiology for complex patients. NPO 8h prior for conscious sedation.
Consent. Perirenal hematoma (most common), gross hematuria, AV fistula, arterial pseudoaneurysm, urinary obstruction, infection, need for transfusion/embolization, loss of kidney function, death (rare).
3

Relevant Anatomy

Native Kidney

  • Lower pole target (preferred): Farthest from hilum and collecting system; approach from posterolateral flank
  • Avoid medial hilum (renal artery, vein, ureter), collecting system, and renal pelvis
  • Target cortex, not medulla: Cortical cores contain glomeruli; target posterior cortex just inside the renal capsule; medullary cores have few glomeruli and high bleeding risk
  • On US, medullary pyramids are hypoechoic (darker) or anechoic compared to the surrounding cortex, which is slightly more echogenic — use this to guide needle depth

Transplant Kidney

  • Superficial and easily accessible in the iliac fossa; approach from anterolateral
  • Lower pole preferred; avoid upper pole (near iliac vessels)
  • Careful — transplant is superficial and easy to reach but also close to iliac vessels

Danger Structures

  • Renal artery and vein (hilum), ureter, segmental vessels
  • Adrenal gland (superior pole), adjacent bowel (must confirm on US)
  • Measure skin-to-capsule distance before choosing needle length
4

Technique

Default RadCall approach · share your own below

RadCall Standard Default

Supplies

Ultrasound + sterile probe cover 18g spring-loaded core biopsy device 16g core biopsy device (optional, larger cores) Sterile prep/drape 1% lidocaine 25g needle (skin wheal) 22g needle (deep anesthesia to capsule) Scalpel (small skin incision) Formalin jar (light microscopy) Glutaraldehyde (electron microscopy) Normal saline or Michel's media (immunofluorescence) Dissecting microscope (glomeruli count) Moderate sedation (midazolam + fentanyl)

Cortical Tangential Approach — Steps

1

Position

Prone (native biopsy); supine (transplant). Roll under the abdomen (prone) flattens lumbar lordosis and improves kidney visualization. Patient must remain still and follow breath-hold instructions.
2

Pre-procedure US survey

Confirm kidney position, size, lower pole location. Measure skin-to-capsule distance. Check for cysts or obstructions. Use color Doppler to confirm safe trajectory — no large vessels in path. Mark skin entry site at lower pole.
3

Sterile prep and drape

Standard sterile prep. Apply sterile probe cover. Drape access site.
4

Local anesthesia

25g skin wheal; then 22g needle to kidney capsule under US guidance. Inject 5–10 cc lidocaine tracking from skin to capsule. Peritoneal/capsular injection is essential — most pain comes from capsule penetration. Do not puncture capsule with the anesthesia needle.
5

Skin incision

Small skin incision (3–5 mm) at entry site to allow core biopsy device to pass without resistance.
6

Establish the cortical tangential trajectory

Plan the needle trajectory to run parallel to the outer renal capsule, targeting the outer half to outer one-third of the renal cortex. The needle path must NEVER be directed at the medulla or renal hilum — medullary/hilar passes risk major arterial injury and AV fistula. On US, the medullary pyramids are hypoechoic (darker) or anechoic compared to the surrounding cortex, which is slightly more echogenic — use this to guide depth.
7

Advance coaxial introducer to capsule margin

Advance the 17g coaxial introducer under real-time US to just inside the renal capsule along the planned tangential trajectory. Confirm no vessels in needle path with Doppler before firing.
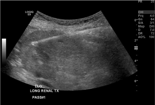
View needle in cortex
Ultrasound showing needle positioned tangentially in renal cortex during transplant biopsy
8

Breath-hold and fire

Ask patient to hold breath in expiration (coordinate with anesthesia for brief apnea during firing if anesthesia is being used). The spring-loaded 18g biopsy gun fires through the outer cortex on a path parallel to the capsule — not across the full kidney diameter. Fire device. Withdraw immediately.
9

Immediate US check

Re-confirm with US for hematoma after each pass before proceeding. Do not fire the next pass without surveying.
10

Repeat passes + core inspection

With the cortical tangential approach, 1–2 passes are typically sufficient (average 1.2 cores). Examine cores under dissecting microscope if available — Banff adequacy: ≥10 glomeruli + ≥2 muscular arteries. Target ≥15 glomeruli total at most centers.
11

Completion

Apply pressure. Some operators inject Gelfoam slurry through the coaxial needle to plug the tract. Comprehensive US survey after final pass to rule out expanding hematoma. Document total passes, core quality, and any immediate complications.
Browse Card Library →
Sign in to view and create community cards
5

Troubleshooting

Problem

Insufficient glomeruli on core inspection

Likely cause: Needle tip in medulla rather than cortex, or fired too shallow.

Next step: Advance needle 1–2 mm more into cortex before firing on next pass. Confirm cortical position on US — medullary pyramids are hypoechoic (darker) or anechoic; cortex is slightly more echogenic.

Problem

Needle visible but tip unclear on US

Likely cause: Poor angle of insonation; needle not in beam plane.

Next step: Use tissue harmonics. Ensure needle is perpendicular to the ultrasound beam. Gently jiggle the stylet to generate motion artifact at the tip for localization.

Problem

Patient unable to cooperate with breath-hold

Likely cause: Pain, anxiety, or inability to follow commands.

Next step: Coordinate with anesthesia for brief apnea during firing. Use real-time US to track kidney movement and time the firing to the correct respiratory phase.

Problem

Significant hematoma during procedure

Likely cause: Vessel injury; uncontrolled hypertension; coagulopathy.

Next step: Stop immediately. Apply pressure. Reassess with US serially. Extend observation period. Prepare for angiography/embolization if active bleeding.

Problem

Difficulty accessing lower pole (patient habitus)

Likely cause: Obesity, deep kidney, difficult positioning.

Next step: Try slight kidney rotation with US probe pressure. Adjust probe position. Consider deeper approach or a longer needle. Consider CT guidance for morbidly obese patients.

Problem

Non-diagnostic biopsy of focal renal mass

Background: Up to 21% of solid renal mass biopsies are non-diagnostic. Of 119 cores yielding no diagnosis, 13 of 21 repeat biopsies identified malignant lesions. "Oncocytic elements" without a definitive diagnosis should be managed as malignant neoplasm.

Next step: Repeat biopsy. For lesions <3 cm, watchful waiting with follow-up CT is an option. If mass is not visible on unenhanced CT, use first needle as intrarenal landmark, administer IV contrast, confirm position on nephrographic phase CT, then proceed with sampling.

6

Complications

Common / Major

  • Perirenal hematoma — most common; ~90% minor (asymptomatic on imaging only); ~1–2% clinically significant. Management: observation + vitals; transfuse for symptomatic anemia; angiography/embolization for active bleeding
  • Gross hematuria (~3–5%) — usually self-limited (clears within 48–72h); serious if clot retention occurs. Management: hydration, Foley catheter for retention; cystoscopy/embolization for persistent bleeding
  • AV fistula (~15% of all renal biopsies on Doppler; 95% are asymptomatic and close spontaneously; 46.6% resolve by 30 days, 95.4% by 3 months). Hemodynamically significant: intervene only for persistent hematuria, resistant hypertension, high-output heart failure, or AKI from steal phenomenon. Management: angiography and coil/plug embolization
  • Arterial pseudoaneurysm — rare. Management: angiography and embolization

Rare / Specific

  • Page kidney — perirenal hematoma causing renovascular hypertension by extrinsic compression (rare). Diagnosis by renin measurement. Management: surgical or percutaneous drainage
  • Death — extremely rare (<0.1%)
  • Transplant-specific: Ureteral injury (rare), lymphocele, graft loss from uncontrolled hemorrhage
  • Infection — rare with sterile technique; increased risk if active urinary infection present (absolute contraindication)
7

Post-Procedure Care

Monitoring

  • 4–6h observation (some centers admit overnight for high-risk cases)
  • Vitals q30 min × 2h then q1h × 2h
  • Urine color monitoring — document gross hematuria; serial urinalysis (optional)
  • CBC at 4–6h (optional); critical drop in Hgb → CT for hematoma evaluation
  • BP control post-procedure: hypertension post-biopsy significantly increases bleeding risk

Discharge + Instructions

  • Discharge criteria: Stable vitals, no gross hematuria, tolerating PO, Hgb stable (if checked)
  • Bed rest × 24h
  • Avoid strenuous activity × 1–2 weeks
  • Drink extra fluids
  • Return immediately for: Flank pain, bright red urine, hypotension, dizziness
8

Critical Pearls

BP is the single most modifiable risk factor: 10× increased bleeding at SBP >140 mmHg; 23× at SBP >170; OR 75.6 at SBP >180/DBP >95. Do not proceed with uncontrolled hypertension.
Target the posterior cortex of the lower pole: Farthest from hilar vessels and collecting system, richest in glomeruli. On US, medullary pyramids are hypoechoic (darker) or anechoic; cortex is slightly more echogenic — learn to distinguish these.
Doppler before every pass: Confirm no large vessel in the direct needle path. Re-check after each pass before firing again.
DDAVP in eGFR <30: 0.3 mcg/kg IV over 20 min approximately 1h pre-biopsy. May reduce hematoma size even if overall major complication rates are unchanged. Mixed evidence; not universal — confirm with your center.
Transplant approach nuance: Anterolateral approach, lower pole. Transplant kidney is superficial and easy to reach, but it sits close to iliac vessels — confirm with Doppler every time.
Focal mass biopsy changes management: ~37% of small solid masses sent for ablation are benign. Biopsy before ablation can prevent unnecessary treatment. Per AUA guidelines, biopsy is required before percutaneous ablation (if <3cm).
Aspirin nuance: Two large studies (n=5,832 and meta-analysis n>9,000) showed no significant increase in bleeding complications with continued aspirin. Weigh against 3× increased CV event risk with discontinuation in CKD patients — individualize.
Brief US survey after every pass: Check for expanding hematoma before the next pass. This is the single most important real-time safety check.
Post-biopsy hypertension → think Page kidney: A subcapsular hematoma can compress the renal parenchyma, activate the RAAS, and cause renovascular hypertension. Not just hypotension — post-biopsy hypertension should also prompt concern. Diagnosed by renin measurement; management: surgical or percutaneous drainage.
The cortical tangential approach is the single most important technical principle: Needle runs parallel to the outer capsule through the outer half to one-third of the cortex — never toward the medulla or hilum. This approach achieves ~95% success rate, 0.7% transfusion rate, and average 1.2 cores to adequacy. A non-tangential approach directed at the medulla dramatically increases vascular injury risk.
9

Specimen Handling

Container 1 — Formalin (10%)

  • Light microscopy and immunohistochemistry (IHC)
  • Standard hematoxylin & eosin, PAS, silver, trichrome stains
  • Largest core (most glomeruli)
  • Most 'formalin' fixatives are mixtures — confirm with your lab whether the specific fixative is compatible with EM before use

Container 2 — Glutaraldehyde

  • Electron microscopy (EM)
  • Use a 1 mm³ sample — a tiny sliver of tissue, NOT an entire core
  • Must be placed in glutaraldehyde immediately — formalin irreversibly destroys ultrastructure

Container 3 — Saline / Michel's Media

  • Immunofluorescence (IF) — IgG, IgA, IgM, C3, C1q, fibrinogen
  • Normal saline or Michel's transport media (if delayed processing)
  • Do NOT use formalin

Core Adequacy

  • Examine cores under dissecting microscope if available — target ≥10–12 glomeruli per core
  • For transplant protocol: minimum 2 adequate cores; follow Banff criteria
  • For culture (suspected infection/pyelonephritis): place in sterile saline (not formalin)

Labeling + Logistics

  • Label each container immediately with patient name, MR, date, site, pass number
  • Call pathology in advance for special handling instructions
  • Confirm ALL three containers are ready and available before starting the procedure
9

References & Resources

Primary sources · Key data · Related procedures

Key Guidelines

  • SIR Quality Improvement Guidelines for Percutaneous Needle Biopsy
  • KDIGO Clinical Practice Guideline for Glomerulonephritis

Primary References

  • Silverman SG, Gan YU, Mortele KJ, Tuncali K, Cibas ES. Renal masses in the adult patient: the role of percutaneous biopsy. Radiology. 2006;240(1):6–22.
  • Volpe A, Mattar K, Finelli A, et al. Contemporary results of percutaneous biopsy of 100 small renal masses: a single center experience. J Urol. 2008;180(6):2333–2337.
  • Huang WC, Levey AS, Serio AM, et al. Chronic kidney disease after nephrectomy in patients with renal cortical tumours: a retrospective cohort study. Lancet Oncol. 2006;7(9):735–740.