RC
RadCall Procedure Guide
← Back to Image-Guided Biopsy
Procedure Playbook

CT-Guided Lung Biopsy

Percutaneous coaxial needle biopsy of pulmonary nodules and masses under CT fluoroscopic guidance.

Sedation
Moderate IV sedation
Bleeding Risk
Moderate (SIR Cat 2)
Key Risk
Pneumothorax (~30%)
Antibiotics
Not routine
Follow-up
CXR at 2h post
1

Indications / Contraindications

Indications

  • Enlarging or persistent nodule/mass ≥1 cm — evaluate for primary or metastatic malignancy; provides tissue for molecular profiling required for targeted therapy
  • Suspected infection not responding to treatment — FNA can identify microorganisms
  • Non-infectious inflammatory processes (e.g., sarcoidosis, organizing pneumonia)
  • Technically feasible for lesions ≥1 cm; diagnostic yield lower for nodules ≤1.5 cm

Alternatives to Consider First

  • Bronchoscopy / BAL for hilar masses accessible endobronchially
  • EBUS for central or hilar lesions adjacent to airways
  • VATS for pleural or peripheral lesions requiring resection
  • Biopsy of safer extrathoracic or mediastinal disease if present

Contraindications

  • Absolute: INR ≥1.5 · Platelets ≤50,000/µL · Patient unable to cooperate or hold still
  • Relative: Severe emphysema · Severe pulmonary hypertension · Oxygen dependence · Unable to hold aspirin (platelet count >100,000 preferred)
  • Contralateral pneumonectomy — pneumothorax could be fatal; requires careful risk-benefit assessment
2

Pre-Procedure Checklist

Review prior imaging. Target growing lesions; avoid shrinking ones. Target the periphery of large lesions to avoid central necrosis. Use contrast CT to identify necrosis and vessel relationships. FDG-PET high-uptake areas reliably exclude necrotic tissue in mixed lesions.
Labs. CBC, coagulation panel (INR <1.5, platelets >100,000 preferred), BMP. ECG for patients >65 years or with cardiac history.
History and baseline status. Document baseline respiratory status. Confirm ability to lie prone >1 hour. Review medications and timing of last blood thinners. Assess cough — offer codeine pre-procedure if significant. Current smokers receive nicotine patch day of procedure.
Anticoagulation holds. INR <1.5, platelets >100,000 preferred. Hold aspirin 5–7 days; LMWH hold 24h; warfarin hold 5 days; DOACs hold 24–48h.
IV access + sedation plan. IV access required. Moderate sedation with midazolam + fentanyl. Anesthesia consult for complex or high-risk patients.
Consent. Discuss: pneumothorax (~30%, ~5% require chest tube), hemoptysis, hemothorax, air embolism, infection, tumor seeding (rare with coaxial technique).
Pathology coordination. Call pathology in advance to confirm containers and special handling. Confirm if on-site cytopathologist (ROSE) is available for adequacy assessment.
3

Relevant Anatomy

Access Site Principles

  • Prone positioning preferred — minimizes chest wall motion; patient recovers supine (natural position change acts as positional therapy for small pneumothorax)
  • Choose skin entry at midpoint of CT slices showing the path to the target
  • Prefer medial-to-lateral trajectories — less rib motion medially
  • For central lesions: trajectory parallel to segmental vessels (avascular plane)
  • For necrotic or cavitated lesions: target the viable wall
  • Entry angle >30° to prevent sliding off the pleura
  • Gantry tilt to avoid ribs when needed
  • Minimize number of pleural crossings — coaxial technique achieves this

Structures to Avoid

  • Fissures — crossing a fissure significantly increases pneumothorax risk
  • Bullae and emphysematous lung — high risk of air leak; plan around these on planning CT
  • Vessels: Internal mammary artery (medial chest wall), intercostal vessels (inferior rib margin), subclavian artery, axillary vessels
  • Segmental pulmonary arteries — use contrast CT for trajectory planning in central lesions
  • Intercostal neurovascular bundle — hug the superior rib margin when crossing between ribs
4

Technique

Default RadCall approach · share your own below

RadCall Standard Default

Supplies

CT scanner Coaxial 19G introducer needle 22G Chiba needle (FNA) 20G spring-loaded core biopsy device 10% formalin specimen jars Saline-filled specimen container Sterile drape + prep 1% lidocaine 25G local anesthesia needle Midazolam + fentanyl (IV sedation) Radiopaque skin grid Sterile US probe cover (if US component)

Steps

1

Patient positioning

Prone positioning preferred; supine as alternative. Use wedges to elevate the biopsy side up to 45° if needed. Secure patient to CT table with strap. Instruct no movement or talking during needle passes.
2

Planning scan

Helical 5 mm → 2.5 mm slices centered on the target. Place radiopaque grid on skin. Select puncture site. Confirm trajectory avoids fissures, bullae, and vessels. Apply gantry tilt as needed to clear ribs or optimize angle.
3

Skin prep + local anesthesia

Mark skin entry site. Sterile prep and drape. Raise a 1 cc skin wheal with 25G needle and 1% lidocaine — watch under CT to preview needle angles and depth. Switch to intermittent single-rotation CT acquisitions. Once trajectory confirmed, inject lidocaine into deeper tissues including pleural surface. Create small skin incision.
4

Pre-pleural position + lidocaine bolus

Advance 19G coaxial introducer to 1–2 cm short of the pleura under stepwise CT. Administer additional lidocaine through the introducer, especially near pectoralis and ribs. At the endothoracic fascia: remove stylet, connect lidocaine syringe, inject 5–10 cc slowly. Correct position confirmed by no resistance to injection and a subpleural convex bulge visible on CT.
5

Pleural puncture

Administer 25 mcg fentanyl IV immediately before puncture. Advance introducer through the pleura during inspiration with a firm, swift motion (≥2 cm advance). Maintain entry angle >30°. Feel a subtle "pop" as the pleura is crossed. Do NOT pull the needle back after crossing the pleura — increases parenchymal hemorrhage risk.
6

Targeting + needle positioning

Advance tip to anchor in the target under stepwise CT. Partially withdraw stylet during imaging to reduce streak artifact. Minimize pleural dwell time. Keep a saline drip into the hub during all needle exchanges to prevent air entry.
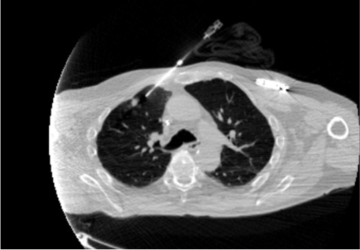
View needle in target lesion
CT showing biopsy needle positioned in pulmonary lesion
7

FNA passes (if being performed — cytology/microbiology)

Advance 22G Chiba needle through the introducer into the target. Apply suction with syringe. Use jiggling or rotating motion. Deposit material on slide (cytology) or in saline/RPMI (cell block, flow cytometry, molecular testing).
8

Core biopsy passes

Advance 20G spring-loaded core biopsy device through the introducer. Advance the gap (notch) to the target. Fire device. Withdraw introducer and core device as a single unit. Obtain minimum 2–3 cores per target. Cycle specimens to pathology — place in 10% formalin for histology/IHC, or fresh/saline if lymphoma or infection is suspected.
9

Post-biopsy CT

Obtain CT immediately after the final pass. Assess for pneumothorax, pulmonary hemorrhage, and hemothorax. Document any immediate complications before moving patient.
Browse Card Library →
Sign in to view and create community cards
5

Troubleshooting

Problem

No aspiration despite apparently correct position

Likely cause: Lesion may be fibrotic or highly cellular; tissue too solid for FNA aspiration.

Next step: Try repositioning needle tip within lesion. Use smaller gauge needle. Proceed directly to core biopsy passes.

Problem

Needle tip not visible on CT

Likely cause: Metal streak artifact from introducer obscuring tip.

Next step: Partially withdraw stylet to reduce artifact. Switch to bone window settings — metal tips often visible on bone windows when obscured on soft tissue windows.

Problem

Lesion not visible at time of procedure

Likely cause: Window/level not optimized; lesion may have partially resolved; GGO lesion collapses with sedation/positioning.

Next step: Recheck window and level settings. Compare directly to prior contrast CT at same level. Consider CEUS guidance. For GGO lesions, reduce sedation depth to restore ventilation.

Problem

Wire or needle resistance on insertion

Likely cause: Calcified or heavily fibrotic lesion; cortical bone (if rib contact).

Next step: Confirm on bone windows. For calcified lesion: may need slight trajectory adjustment. For rib contact: use gantry tilt to walk needle over rib margin.

Problem

Patient coughing during procedure

Likely cause: Pleural irritation or inadequate sedation/analgesia.

Next step: Administer additional fentanyl (cough suppression effect). Have patient modify breathing pattern. Consider brief voluntary breath-hold during critical needle passes. If needle is across pleura, minimize unnecessary movement.

Problem

Pneumothorax develops during procedure

Likely cause: Air leak at pleural crossing; emphysematous lung adjacent to tract.

Next step: If small (<2 cm from pleura) and hemodynamically stable, may continue if additional passes are essential. If enlarging or symptomatic, consider aspiration through the introducer or abort and place 8Fr chest tube in IR suite.

Problem

Difficulty reaching deep or central lesion

Likely cause: Introducer too short; suboptimal gantry angulation.

Next step: Reposition patient to shorten skin-to-target distance. Use longer introducer needle (spec: 5 cm longer than skin-to-target distance). Ensure correct gantry angulation is applied.

6

Complications

Major

  • Pneumothorax (~30% overall; ~5% require chest tube) — risk factors: emphysema, small lesion, deep lesion, multiple passes, crossing fissures. Small/stable → observation + supplemental O₂. Enlarging or symptomatic → 8Fr chest tube, placeable in IR suite.
  • Hemoptysis — minor in 3–5%; significant (<1%). Usually self-limited. Position patient biopsy-side-down to protect contralateral lung. Supplemental O₂. Bronchoscopy available for massive hemoptysis.
  • Air embolism — rare but catastrophic. Risk with open needle hub. Immediate management: left lateral decubitus + Trendelenburg position; hyperbaric O₂.

Minor / Delayed

  • Hemothorax (<1%) — may require thoracentesis or chest tube if significant
  • Pulmonary hemorrhage — common on post-procedure CT; usually self-limited; monitor for hemoptysis
  • Infection / empyema (<1%) — prophylactic antibiotics not routine; standard sterile technique
  • Tumor seeding — extremely rare with coaxial technique; needle tract seeding well-documented only for certain histologies (hepatocellular, pleural mesothelioma)
  • Vasovagal reaction — from pain at pleural puncture; prevention with adequate fentanyl pre-puncture
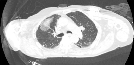
View expected pulmonary hemorrhage
CT showing expected pulmonary hemorrhage after lung biopsy
7

Post-Procedure Care

Monitoring + Imaging

  • 2-hour post-procedure CXR — if no pneumothorax and patient asymptomatic, may discharge
  • Vitals q30 min for 2 hours
  • Pain assessment — pleuritic chest pain may indicate pneumothorax or hemorrhage
  • Oxygen saturation monitoring throughout observation period

Pneumothorax Management + Discharge

  • If pneumothorax identified on post-procedure CT: assess size. Small and stable → additional CXR in 2–4h
  • If enlarging or symptomatic → aspiration with 14G angiocath, or small-bore chest tube
  • Discharge instructions: no strenuous activity × 24h; return to ED for increasing chest pain, shortness of breath, or hemoptysis
  • For emphysematous patients: 2-hour observation minimum; low threshold for extended observation even without immediate post-procedure pneumothorax
8

Critical Pearls

Prone positioning: Reduces chest wall motion with respiration and allows the operator to step back from the CT bore during scanning — the single most effective setup change for improving accuracy and safety.
Pre-pleural lidocaine bolus: Inject 5–10 cc lidocaine just before the pleura. The subpleural convex bulge on CT confirms correct position. This step dramatically reduces pain and vasovagal response at pleural puncture.
Fentanyl before pleural puncture: 25 mcg IV immediately before advancing through the pleura suppresses cough reflex and reduces pain — one of the highest-yield timing decisions in the procedure.
Never pull the introducer back after crossing the pleura: Any backward motion increases parenchymal tearing and hemorrhage risk. If repositioning is needed, advance forward or abort and restart with a fresh pass.
Hub sealed at all times: Keep a saline drip into the hub during all needle exchanges. An open hub facing a negative-pressure thorax can cause air embolism — a rare but catastrophic complication.
Avoid crossing fissures: A trajectory crossing a fissure has substantially higher pneumothorax risk. Always review the fissure locations on planning CT and adjust trajectory accordingly.
Target lesion periphery and PET-avid areas: For large lesions, target the viable peripheral rim to avoid central necrosis. For mixed lesions, the highest FDG-uptake area on PET reliably identifies viable tumor and excludes necrotic tissue.
Coaxial technique = one pleural crossing: Multiple separate pleural punctures multiply pneumothorax risk. The coaxial system allows multiple FNA and core passes through a single introducer crossing — always use it.
9

Specimen Handling

Specimen TypeContainerPurpose
FNA (cytology)Slide (immediate smear) or saline/RPMICytology, cell block, flow cytometry, molecular testing
Core biopsy (histology)10% formalinH&E histology, IHC, molecular profiling (EGFR, ALK, PD-L1, etc.)
Core biopsy (fresh)Saline or RPMI (no formalin)Flow cytometry (if lymphoma suspected), culture, biobanking
Suspected infectionSterile saline or culture media — no formalinBacterial, fungal, mycobacterial culture
Cell blockCytoLyt or saline-rinsed syringeMolecular profiling, IHC on cell block sections

Key Handling Rules

  • Call pathology in advance — confirm container requirements and whether on-site cytopathologist (ROSE) is available for adequacy check
  • Minimum 2–3 cores per target for adequate histology plus molecular profiling
  • Label every container immediately at the table: patient name, MRN, date, site, pass number
  • Never place infection specimens in formalin — kills organisms and prevents culture
  • FNA slides should be sprayed with fixative or air-dried immediately depending on staining protocol — confirm with cytopathology
  • For suspected lymphoma: fresh core in RPMI for flow cytometry; formalin for IHC; coordinate with hematopathology
9

References & Resources

Primary sources · Key data · Related procedures

Key Guidelines

  • ACR–SIR Practice Parameter for Percutaneous Transthoracic Lung Biopsy
  • ACCP Evidence-Based Clinical Practice Guidelines: Invasive Staging of Lung Cancer

Primary References

  • Gupta S, Ahrar K, Morello FA Jr, Wallace MJ, Hicks ME. Masses in or adjacent to the mediastinum: treatment with US-guided percutaneous injection of absolute ethanol. Radiology. 2001;221(3):786–790.
  • Manhire A, Charig M, Clelland C, et al; BTS. Guidelines for radiologically guided lung biopsy. Thorax. 2003;58(11):920–936.
  • Yeow KM, Su IH, Pan KT, et al. Risk factors of pneumothorax and bleeding: multivariate analysis of 660 CT-guided coaxial cutting needle lung biopsies. Chest. 2004;126(3):748–754.