RC
RadCall Procedure Guide
← Back to Image-Guided Biopsy
Procedure Playbook

Image-Guided Liver Biopsy

Percutaneous image-guided biopsy of focal hepatic lesions or diffuse parenchymal disease for histologic diagnosis, molecular profiling, and staging.

Guidance
US / CT / MRI
Bleeding Risk
High (SIR Cat 3)
Key Risk
Hemorrhage · Biloma
Antibiotics
Not routine
Follow-up
4–6h observation
1

Indications / Contraindications

Indications

  • Establish benign vs. malignant nature of a hepatic lesion
  • Microbiological analysis in known or suspected hepatic infection
  • Stage disease — local spread or distant metastasis
  • Characterize diffuse parenchymal disease (cirrhosis, hemochromatosis, unexplained transaminitis)
  • Tissue for biomarker, protein, or genotype analysis to guide targeted therapy
  • Determine primary cell of origin in metastatic disease with unknown primary
  • Note: Biopsy is not required when typical imaging features are sufficient (e.g., classic HCC with arterial enhancement + washout) — indicated when diagnosis is uncertain or molecular profiling is needed

Contraindications

  • Absolute: Uncorrectable coagulopathy · No safe access window · Hemodynamic instability
  • HIGH BLEEDING RISK — SIR Category 3
  • Warfarin: Hold 5 days; target INR <1.8
  • High thrombotic risk (mitral prosthesis, stroke within 6 months, VTE within 3 months, CHA₂DS₂-VASc >7) — bridge with UFH or LMWH
  • Dual antiplatelet with stent <1 year: Multidisciplinary discussion required
2

Pre-Procedure Checklist

Review prior imaging. Plan access route. Assess lesion conspicuity on US vs CT vs MRI. Identify vascular structures. Confirm target.
Labs: PT/INR, platelet count, hemoglobin. Without chronic liver disease: correct INR to <1.8; transfuse platelets if <50×10&sup9;/L. With chronic liver disease: Vitamin K 10 mg slow IV if INR >2.5; platelet transfusion if <30×10&sup9;/L; cryoprecipitate if fibrinogen <100 mg/dL. INR does NOT reliably predict post-biopsy bleeding in CLD — thromboelastography (TEG/ROTEM) may better reflect true hemostatic balance.
Anticoagulation holds. Warfarin 5 days (target INR <1.8) · LMWH 24h · Heparin 4–6h · DOACs 24–48h · Aspirin: can typically continue per SIR guidelines (individualize for cirrhotic patients) · NSAIDs: hold 5–7 days if high hemorrhagic risk.
Type and screen for high-risk cases.
IV access required. Moderate sedation (midazolam + fentanyl) or local anesthesia alone for cooperative patients.
Consent. Hemorrhage (most common), biloma, biliary fistula, pneumothorax (if dome lesion), infection, tumor seeding (rare with coaxial technique), death (<0.01%).
Call pathology in advance. Confirm needle size, containers (formalin, saline, RPMI), and whether on-site cytopathologist is needed.
3

Relevant Anatomy

Access Routes

  • Subcostal approach (preferred): Below right costal margin, directed superiorly toward target; avoids pleural space
  • Intercostal approach (dome lesions): Between ribs, hugging superior rib margin to avoid intercostal vessels; risk of pleural transgression — use gantry tilt or angled approach. Right pleural reflections: 8th rib anterolaterally, 10th rib posterolaterally — dome lesions (Seg 7/8) often require supra-diaphragmatic intercostal entry; plan for pleural transgression and pneumothorax risk
  • Include normal parenchyma in needle trajectory for tamponade effect on withdrawal
  • Left lobe lesions: Epigastric approach — avoid gastric vessels and stomach

Danger Structures

  • Portal vein and hepatic veins: Doppler before access
  • Gallbladder: Can cause biliary peritonitis if transgressed — avoid
  • Pleura/lung base: Intercostal approach risk; tilt gantry or angle needle away
  • Inferior epigastric vessels: Stay lateral to rectus for subcostal approach
  • Major bile ducts: Visualize on pre-procedure imaging; avoid
4

Technique

Default RadCall approach · share your own below

RadCall Standard Default

Supplies

Ultrasound + sterile probe cover CT suite (complex/occult lesions) Coaxial introducer (17g or 18g) 18g or 20g core biopsy needle 22g Chiba needle (FNA) 10% formalin specimen jars RPMI specimen jars 1% lidocaine Moderate sedation medications ChloraPrep Sterile drape Gelfoam (high-risk patients)

Steps

1

Select guidance modality

US first-line: real-time, Doppler, no radiation. CT for deep or complex lesions. PET-CT co-registration for metabolically active targets.
2

Position patient

Supine (right arm overhead) for most; left lateral decubitus or prone for right lobe access. Repeat imaging to confirm lesion position before sterile prep.
3

Time-out and sterile prep/drape

Confirm patient identity, target, and laterality. Sterile prep with ChloraPrep. Drape access site. Apply sterile cover to US probe.
4

Plan needle path

Shortest straight path. Include normal parenchyma in trajectory. Subcostal preferred. If intercostal, stay above superior rib margin. Visualize full shaft in single plane on US.
5

Local anesthesia

Infiltrate 1% lidocaine from skin to peritoneal lining. Give special attention to the capsule — inject at capsule and let dwell before advancing.
6

Breath-hold before insertion

Ask patient to breath-hold in expiration before inserting the coaxial introducer. This reduces liver excursion and improves targeting accuracy.
7

Advance coaxial introducer

Advance to target under real-time US or stepwise CT guidance. Confirm position just beyond capsule. Ask patient to breathe normally once introducer is parked. Re-confirm position.
8

FNA (if being performed) + core biopsy

FNA with 22g Chiba (apply suction, jiggle/rotate) if planned, then core biopsy with 18g device. Obtain 2–3 cores per target. Target tumor periphery — avoid necrotic center. For mixed solid/cystic lesions: biopsy solid component; aspirate cyst separately.
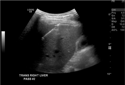
View needle positioning
Ultrasound showing biopsy needle positioned in liver target
9

Tract embolization and withdrawal

Optional Gelfoam embolization through coaxial sheath on withdrawal — consider in cirrhotic patients or large tracts. Apply sterile dressing. Document number of passes and gross specimen appearance.
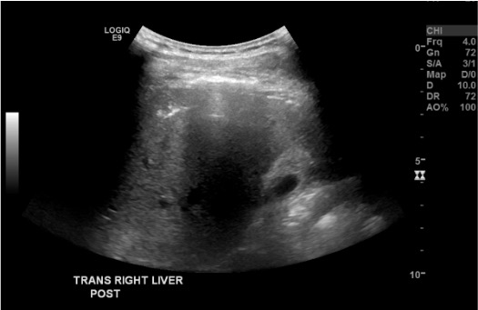
View post-biopsy US
Post-biopsy ultrasound of right liver showing expected echogenic tract
Browse Card Library →
Sign in to view and create community cards
5

Troubleshooting

Problem

Lesion not visible on US

Likely cause: Poor acoustic window, deep location, isoechoic lesion, or patient habitus.

Next step: Switch to contrast-enhanced US (CEUS) or CT. Adjust window/level. Reposition patient and repeat survey.

Problem

Needle tip artifact obscuring position

Likely cause: Beam angle or reverberation artifact on US; partial volume on CT.

Next step: On CT, use bone windows to improve needle visualization. Partially withdraw stylet to reduce tip artifact. Adjust probe angle on US to optimize needle echogenicity.

Problem

Inadequate specimen / failed biopsy

Likely cause: Necrotic target center, insufficient cores, or sampling error.

Next step: Ensure tip is at periphery, not necrotic center. For metabolically active targets, use PET guidance. Submit at least 2–3 cores. Consider on-site cytopathologist for rapid adequacy check.

Problem

Hemobilia after biopsy

Likely cause: Arteriovenous or arteriobiliary fistula from needle traversal of a vessel.

Next step: Immediate CT for characterization. If active arterial bleeding — angiography and embolization. Monitor bile for blood-staining during post-procedure observation.

Problem

Inadvertent gallbladder puncture

Likely cause: Distended gallbladder in access path not recognized on pre-procedure imaging.

Next step: Abort if bile is visible in syringe. Observation for biliary peritonitis. Cholecystostomy may be required if peritonitis develops.

6

Complications

Hemorrhagic

  • Hemorrhage — most common significant complication; ~1–3% minor bleeding; ~0.2–0.5% major (requiring transfusion or embolization)
  • Management: post-procedure observation; CT for pain/hypotension; angiography/embolization for active arterial bleed
  • Hemobilia — arteriobiliary fistula; presents with RUQ pain, jaundice, GI bleeding (Quincke's triad)

Biliary and Other

  • Biloma/bile leak (0.1–0.5%) — observation if small/asymptomatic; IR drainage + antibiotic coverage if symptomatic
  • Biliary fistula — rare; associated with intercostal approach; risk reduced by subcostal route
  • Pneumothorax — rare with intercostal approach; small → observation; large → chest tube
  • Tumor seeding — extremely rare (<0.01%) with coaxial technique; higher risk with FNA of HCC without coaxial
  • Infection/abscess — rare; prophylactic antibiotics not routinely indicated
  • Death <0.01%; overall major complication rate <1%
7

Post-Procedure Care

Monitoring

  • 1-hour observation is evidence-supported for uncomplicated cases (Adnan/Sheth TVIR 2021); 4–6h for high-risk patients (cirrhosis, coagulopathy, complex access)
  • Vitals q30 min × 2h then q1h × 2h
  • Pain assessment: RUQ/right shoulder pain is common and usually pleuritic (normal); sudden severe pain may indicate hemorrhage
  • Diet: NPO first hour, then clear liquids, then regular if tolerating
  • CBC at 4 hours for high-risk patients (cirrhotic, anticoagulated)

Discharge

  • Discharge criteria: Stable vitals, tolerating PO, pain controlled, no signs of hemorrhage
  • No strenuous activity × 24–48h
  • Return to ED for: severe pain, hypotension, fever, jaundice, or GI bleeding
  • Pathology results typically available 2–5 business days; notify ordering provider
8

Critical Pearls

US first-line: Real-time guidance, Doppler to identify vessels, no radiation. Switch to CT/MRI for occult or dome lesions.
Always include normal parenchyma in the needle tract: Tamponade effect on withdrawal reduces post-biopsy hemorrhage risk.
Subcostal approach preferred: Eliminates pleural transgression risk entirely. Reserve intercostal for dome lesions with no subcostal window.
For diffuse liver disease: Lower poles are safest — avoid upper lobe diaphragmatic excursion and dome access.
18-gauge preferred over 20-gauge: Higher nucleic acid yield and IHC viability, especially critical for NGS and molecular profiling.
Coaxial approach: One tract, multiple passes, lower seeding risk than repeat single-needle technique. Park introducer just beyond capsule.
Breath-hold in expiration before firing: Reduces liver excursion and improves targeting accuracy.
For HCC — confirm indication first: Biopsy is often NOT required if typical LI-RADS-5 features are present. Confirm with clinical team before proceeding to avoid unnecessary seeding risk.
Gelfoam embolization through coaxial sheath: Consider in cirrhotic patients or for large tracts to reduce hemorrhage risk.
SIR Category 3 (HIGH bleeding risk): Target INR <1.8, platelets >50,000 (ideally >100,000 in chronic liver disease). Do not shortcut coagulation management for this procedure.
Coagulopathy or ascites → consider TJLB over PLB: Transjugular liver biopsy (TJLB) keeps any hemorrhage intravascular — the safer approach when INR >1.5–2.0 or significant ascites is present. TJLB also allows simultaneous HVPG measurement, adding prognostic value in cirrhosis. Modern 19-gauge TJLB needles achieve yield equivalent to PLB.
Plugged PLB for high-risk patients: Tract embolization with gelatin foam slurry, Avitene, or glue should be planned upfront (not only as rescue) in cirrhotic, coagulopathic, or thrombocytopenic patients. Major bleeding rate with plugged PLB is 0.4%, mortality 0.0002%.
9

Specimen Handling

Core Biopsy (Histology)

  • Place immediately in 10% formalin for IHC, molecular testing, hepatic malignancy diagnosis
  • 18-gauge preferred (higher nucleic acid yield vs 20-gauge for NGS/molecular profiling)
  • Minimum 2–3 cores per target; 4–6 cores for diffuse disease (cirrhosis/hepatitis protocols)
  • Label every container immediately at time of biopsy

FNA (Cytology)

  • Deposit on slide immediately or in RPMI/saline for cell block, flow cytometry, molecular testing
  • Performing both FNA (if being performed) + core provides the most diagnostic information
  • If on-site cytopathologist available — rapid adequacy check at the table

Special Situations

Clinical SuspicionContainerNotes
Routine malignancy / IHC10% formalinStandard for hepatic lesions
NGS / molecular profilingRPMI or fresh snap-freeze18g preferred for nucleic acid yield
Suspected infectionSterile saline or culture mediaNOT formalin — will kill organisms
Suspected lymphomaFresh saline (NOT formalin)Flow cytometry requires viable cells
FNA for cytologyRPMI or slidesCell block for IHC if no core obtained

Key Reminders

  • Call pathology in advance — confirm needle size, containers, and need for special handling before the procedure starts
  • Label every container immediately; never batch-label after the procedure
  • Target the tumor periphery for viable tissue — avoid necrotic center
9

References & Resources

Primary sources · Key data · Related procedures

Key Guidelines

  • AASLD Practice Guidance: Evaluation of Liver Biopsy (2023)
  • EASL Clinical Practice Guidelines: Liver Biopsy

Primary References

  • Rockey DC, Caldwell SH, Goodman ZD, Nelson RC, Smith AD; American Association for the Study of Liver Diseases. Liver biopsy. Hepatology. 2009;49(3):1017–1044.
  • Douarin F, Roux O, Vilgrain V, et al. Accuracy of real-time ultrasound-guided percutaneous liver biopsies. Eur Radiol. 2010;20(1):150–155.
  • Midia M, Odedra D, Shuster A, Midia R, Muir J. Predictors of bleeding complications following percutaneous image-guided liver biopsy: a scoping review. Diagn Interv Radiol. 2019;25(1):71–80.