RadCall Procedure Guide
← Back to Image-Guided Biopsy
Procedure Playbook

CT-Guided Bone Biopsy

Percutaneous CT-guided tissue sampling of osseous lesions for diagnosis, culture, and molecular characterization.

Guidance
CT (primary)
Bleeding Risk
High (SIR Cat 3)
Key Risk
Non-diagnostic sample · Seeding
Sedation
Moderate/MAC
Follow-up
2h obs · MDT review
1

Indications / Contraindications

Oncologic Indications

  • Diagnosis and grading of primary bone tumor with nonspecific or aggressive imaging features
  • Confirmation or exclusion of bone metastasis in known primary malignancy
  • Characterization when patient has multiple potential primary tumors
  • Assessment of tumor recurrence / post-treatment change
  • Characterization of pathologic fracture (benign vs. malignant), especially vertebral bodies
  • Molecular receptor characterization, biomarker testing, NGS for personalized oncologic therapy
  • Quantification of treatment response

Non-Oncologic Indications

  • Infectious: Osteomyelitis / spondylodiscitis confirmation and culture/sensitivity
  • Metabolic/Hematologic: Bone marrow examination for hematologic disease; metabolic conditions

Relative Contraindications

  • Coagulopathy (correct first)
  • Pregnancy (multidisciplinary discussion; delay post-partum if possible)
  • Highly vascular spinal tumors (consider pre-embolization)
  • Unstable patient

Absolute Contraindications

  • Infection along planned biopsy route (overlying skin/soft tissue that would contaminate target)
  • Incomplete pre-biopsy imaging; no safe biopsy path
  • Incomplete information regarding surgical excision route when limb-salvage surgery is planned
  • Uncorrectable bleeding diathesis; INR >1.5–1.8, platelets <50,000 (threshold before proceeding)
  • Unwilling / unable-to-consent patient

CRITICAL — Primary Bone Sarcoma: For any suspected primary bone sarcoma, mandatory pre-procedure consultation with orthopedic oncology surgeon to plan the biopsy tract within the planned surgical excision field. An incorrectly placed tract can contaminate compartments and convert a limb-salvage case into an amputation.

2

Pre-Procedure Checklist

Review ALL imaging. Radiographs (matrix, margins, periosteal reaction — identify "do-not-touch" lesions), CT (cortical anatomy, compartment assessment), MRI (bone marrow/soft tissue extension, joint involvement), PET/CT (viable vs. necrotic tissue), bone scan (adjunct).
Surgical/pathology coordination. For suspected primary bone sarcoma — orthopedic oncology consultation before biopsy. Confirm biopsy tract location with surgical team.
Call pathology. Required containers, needle gauge, number of cores, special handling: saline for culture, saline/RPMI for flow cytometry if lymphoma suspected, formalin for histology.
Labs. Coagulation studies (INR/PT, aPTT) and platelet count. Anticoagulant reconciliation. Blood products if needed.
ASA status and comorbidity review. Anesthesiology consultation for high ASA or difficult airway.
NPO / IV access. NPO 4–6h prior if sedation planned. IV access (18–20g) established.
Antibiotic prophylaxis. Not routine; administer when clinically indicated (e.g., suspected infection, immunocompromised patient).
Consent. Discuss: non-diagnostic sample, infection, bleeding, fracture (sclerotic/lytic lesions), injury to adjacent structures, tumor seeding along tract (reason biopsy tract must be within surgical excision field).
3

Relevant Anatomy

CT Guidance — Why It Is Preferred

CT provides superb visualization of cortical and medullary anatomy, compartmental boundaries, and adjacent neurovascular structures. Confirms instrument position within bone in real time. Best modality for most bone biopsies.

Target Selection Principles

  • Target viable, metabolically active tissue (not necrotic center) — PET/CT most useful for co-registration
  • Lytic lesions with soft tissue component: approach through bone into soft tissue component (higher yield)
  • Sclerotic lesions: drill technique required; approach through thin cortical region when possible
  • Vertebral lesions: transpedicular approach (standard) or parapedicular; avoid disk space (infection risk)
  • Extremity lesions: approach MUST be within the planned surgical excision field — consult orthopedic oncology first

Danger Structures

  • Neurovascular bundles — adjacent to long bone lesions
  • Spinal cord and nerve roots — vertebral biopsies; careful trajectory planning essential
  • Lung/pleura — rib and thoracic vertebral biopsies
  • Major vessels — pelvic lesions
  • Adjacent joints — contamination risk for primary sarcomas; keep needle out of joint space
4

Technique

Default RadCall approach · share your own below

RadCall Standard Default

Supplies

CT scanner Coaxial bone biopsy system Powered drill (OnControl / T-lok) 11–13g diamond-tip drill 11–14g manual trephine 14–18g core needle 1% lidocaine (generous) ChloraPrep Sterile drape Bone wax / Gelfoam Formalin jar (histology) Sterile saline (culture) RPMI (flow cytometry) Sterile dressing

Steps

1

Planning CT + positioning

Position patient for CT access to lesion. Acquire planning scan (5 mm → 2.5 mm slices). Review in bone and soft tissue windows. Confirm approach is within planned surgical excision field (extremity lesions — consult orthopedic oncology first).
2

Mark access site, sterile prep

Determine skin entry point and needle trajectory on CT. Mark skin. Sterile prep with ChloraPrep. Apply sterile drape. Confirm final trajectory avoids neurovascular structures, joints, and pleura.
3

Local anesthesia — periosteum first

Anesthetize skin, subcutaneous tissue, and muscle with 1% lidocaine. Periosteal injection is the most painful part — inject generously with 1% lidocaine using a long needle directly onto the periosteum. Long-acting local anesthetic (0.5% bupivacaine) can be mixed in when available.
4

Skin incision, advance to cortex

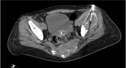
Make small skin incision (3–5 mm) with a scalpel — this scar marks the biopsy tract for the surgeon at definitive resection. Advance coaxial introducer/trocar to bone cortex. Confirm on CT intermittently. Rotate introducer gently to confirm it can be rotated and extracted if needed. Do NOT advance the stylet into the lesion — the outer sheath must be fully seated at or through the cortex first, with the stylet removed, before advancing the trephine. Advancing with the stylet in situ creates a hollow track that impairs tissue collection.
View CT bone biopsy
CT showing bone biopsy needle advanced through cortex into lesion
5A

Lytic lesions (with soft tissue component)

Advance 14–18g core needle through cortical defect into lesion. Obtain multiple cores from the periphery — avoid central necrosis. Target metabolically active region per PET/CT. Minimum 2–3 adequate cores.
5B

Sclerotic lesions

Use powered drill (OnControl / T-lok) or manual trephine to penetrate cortex. Drill 1–2 cm into lesion. Rotate and withdraw to obtain core. Repeat 2–3 times. Powered drill significantly improves cortical penetration and reduces procedure time.
5C

Vertebral lesions (transpedicular)

Approach through the pedicle on the ipsilateral side — the safest corridor to the vertebral body. Advance under CT guidance; confirm needle tip within pedicle before advancing to vertebral body. Avoid disk space (infection risk).
6

Specimen confirmation

Examine cores under dissecting microscope if available to confirm bone/tumor tissue before dismissing patient. Submit separate containers for histology (formalin) and culture (sterile saline) if infection is possible.
7

Post-biopsy CT + hemostasis

Acquire post-biopsy CT to confirm: no hematoma, no pneumothorax (rib/chest), no vascular injury. Apply bone wax or Gelfoam to entry site if significant bleeding. Consider Gelfoam embolization through coaxial sheath on withdrawal for hypervascular lesions.
Browse Card Library →
Sign in to view and create community cards
5

Troubleshooting

Problem

Unable to penetrate cortex

Likely cause: Dense sclerotic cortex, insufficient force, or inadequate needle gauge.

Next step: Switch to powered drill (OnControl). Try approach through existing cortical defect or periosteal reaction area. Upgrade to larger diamond-tip needle if needed.

Problem

Non-diagnostic sample (necrosis)

Likely cause: Sampling central necrotic region of tumor; common in large aggressive tumors or post-treatment lesions.

Next step: Reposition needle to periphery of lesion. Use PET/CT co-registration to identify and target viable/metabolically active tissue. Consider obtaining additional passes.

Problem

Specimen fragmentation

Likely cause: Excessive suction, rapid withdrawal, or mismatch between needle gauge and lesion consistency.

Next step: Reduce suction force. Use slower, more controlled coring technique. Ensure correct needle gauge is selected for lesion type (larger bore for soft lytic lesions).

Problem

Lesion not visible on CT

Likely cause: Incorrect CT window settings; purely medullary extent not visible on bone window; subtle sclerotic lesion.

Next step: Review in bone window for sclerotic lesions and soft tissue window for lytic lesions. Compare to MRI for medullary extent. Consider PET/CT guidance for metabolically active but CT-occult lesions.

Problem

Profuse bleeding from lytic vascular lesion

Likely cause: Hypervascular metastasis (renal cell carcinoma, thyroid, plasmacytoma). Always anticipate before starting.

Next step: Be prepared before starting — consider pre-embolization for hypervascular spinal lesions. Gelfoam embolization through coaxial sheath on withdrawal. Hemostatic gauze at entry site. Keep coaxial sheath in place until bleeding controlled.

Problem

Needle fracture / hardware failure

Likely cause: Excessive force on dense sclerotic bone; not advancing intermittently; significant needle bending before fracture.

Next step: Replace stylet into the cannula to reinforce it before attempting extraction. Use an orthopedic torque device if available. If fragment is retained: surgical consult, covering antibiotics, plain film to document location. Prevention: advance slowly and intermittently in sclerotic bone; stop if significant bending is observed.

Problem

Fracture risk / impending fracture

Likely cause: Large lytic lesion in weight-bearing bone (femoral neck, acetabulum, vertebral body) with cortical breach.

Next step: Discuss with orthopedic surgery before proceeding. May require prophylactic fixation before or concurrent with biopsy. Do not biopsy through weight-bearing cortex if fracture risk is high without surgical backup plan.

6

Complications

Procedure-Related

  • Non-diagnostic biopsy (5–20% depending on lesion type and size; highest for small sclerotic lesions) — management: rebiopsy if clinical suspicion remains; consider open surgical biopsy
  • Bleeding/hematoma — generally low for bone procedures; higher for hypervascular lesions (RCC metastasis, thyroid, plasmacytoma) — local hemostasis, observation; rarely embolization
  • Fracture — risk with large lytic lesions in weight-bearing bones — prophylactic fixation pre-procedure for impending fracture
  • Pneumothorax (rib/thoracic vertebra biopsies) — small: observation; large: chest tube

Serious / Delayed

  • Tumor seeding along biopsy tract — incidence <1% with proper planning but can lead to local recurrence if tract is not excised; key reason biopsy tract must be within planned surgical excision field
  • Neurological injury (vertebral procedures) — rare with proper trajectory and careful CT guidance; management: immediate neurosurgical consultation
  • Infection (<1% overall; higher for vertebral procedures) — antibiotics; interventional drainage if abscess forms
7

Post-Procedure Care

Monitoring

  • 2h observation post-procedure; longer for vertebral/pelvic procedures
  • Neurological assessment after vertebral biopsies (q30 min × 2h)
  • Pain assessment and management — bone biopsies are more painful than soft tissue procedures; anticipate and treat proactively
  • Weight-bearing restriction 24–48h if lower extremity lesion or impending fracture risk
  • Discharge criteria: stable vitals, pain controlled, neurological status intact (vertebral cases)

Results Planning

  • Pathology typically 2–5 days (molecular/NGS may take 1–2 weeks)
  • Discuss timeline and expectations with patient at discharge
  • Plan MDT review with oncology, surgery, and radiation oncology before determining next step
  • Ensure clear point of contact for results communication — do not leave patient without a follow-up plan
  • Document biopsy tract location in report — critical information for surgical planning
8

Critical Pearls

Sarcoma first rule: For any suspected primary bone sarcoma, consult orthopedic oncology before placing a single needle. A poorly placed biopsy tract can convert a limb-salvage surgery to amputation.
CT is the preferred guidance modality: Superb cortical and compartmental visualization; confirms instrument is within bone and not in adjacent soft tissue or neurovascular bundle.
Target viable tissue: Use PET/CT co-registration for post-treatment or heterogeneous lesions. Avoid the necrotic center — sample the metabolically active periphery for highest diagnostic yield.
Periosteal anesthesia: The most painful part of the procedure. Inject generously with 1% lidocaine (or mix with 0.5% bupivacaine) directly onto the periosteum. Do not rush past this step.
Powered drill for sclerotic lesions: The OnControl or T-lok powered drill significantly improves cortical penetration for dense lesions and reduces procedure time compared to manual trephines.
Two containers when infection is possible: Submit one core in formalin (histology/IHC) and one core in sterile saline (culture). Never put a culture specimen in formalin — it kills organisms.
Gelfoam on withdrawal: For hypervascular lesions (RCC metastasis, thyroid, plasmacytoma), consider Gelfoam embolization through the coaxial sheath as the needle is withdrawn to reduce post-procedure bleeding.
MDT before the needle: Always confirm with surgical and oncologic teams before the procedure — the biopsy approach, containers needed, and surgical planning must all be aligned in advance.
Radiograph review first: Identifies "do-not-touch" lesions (bone island, fibrous cortical defect, non-ossifying fibroma, Paget disease) that have pathognomonic appearances and should not be biopsied.
Stop antibiotics before biopsy for spondylodiscitis. Microbiological yield drops from 60% to 23% when antibiotics are continued prior to biopsy (de Lucas et al., p=0.013). If clinically stable, hold antibiotics before the procedure. Percutaneous biopsy changes management in 35% of spondylodiscitis cases — the culture result matters.
9

Specimen Handling

PurposeContainer / MediumNotes
Standard histology (H&E, IHC, molecular testing)10% formalinLight microscopy, immunohistochemistry, FISH, most molecular tests
Culture (bacterial, fungal, mycobacterial)Sterile saline or culture mediaNever formalin — kills organisms. Separate needle pass or fresh core.
Flow cytometry (suspected lymphoma / myeloma)Fresh saline or RPMIMust reach lab fresh — call pathology for pickup protocol
Electron microscopy (if needed)GlutaraldehydeRare; usually for small round cell tumors requiring ultrastructure
Fresh frozen / NGS (sarcoma centers)Dry snap-frozen or RPMIFor molecular profiling; confirm protocol with pathology before procedure

Intraoperative Quality Check

  • Examine cores under dissecting microscope to confirm bone/tumor tissue before dismissing patient
  • Sarcoma centers: frozen section may be performed intraoperatively to confirm adequate cellularity
  • Obtain minimum 2–3 adequate cores; more for heterogeneous lesions
  • If cores appear necrotic/acellular: reposition to periphery and obtain additional passes

Labeling Protocol

  • Label every container immediately with: patient name, MRN, date, site, pass number, depth
  • Call pathology before the procedure — confirm containers, gauge, quantity, and special requirements
  • Some NGS/molecular profiling requires fresh frozen tissue — coordinate logistics before starting
  • Document which container holds which pass in the procedure note
10

References & Resources

Primary sources · Key data · Related procedures

Key Guidelines

  • SIR Standards of Practice for Image-Guided Percutaneous Biopsy
  • CIRSE Standards of Practice for Bone Biopsy
  • Oncology nursing society biopsy guidelines

Osteomyelitis — Yield & Management Impact

Vertebral osteomyelitis-discitis (Malik et al., AJNR 2025; n=310):

  • True-positive culture yield: 34%; management changed in 36% of all cases, 78% of culture-positive cases
  • Disc aspiration > core-only: 42% vs. 29% yield (p=0.002); aspiration only: 56% — always include aspiration when accessible
  • Disc > bone only: 36% vs. 8% yield (p=0.006) — target disc-endplate junction
  • Prior antibiotics do NOT significantly reduce yield — but biopsy sooner after starting antibiotics is better
  • Biopsy most impactful when no prior culture source (MC 41% vs. 23% with positive blood culture)
  • IDSA: defer biopsy if blood cultures positive for S. aureus or S. lugdunensis
  • Core biopsy still essential even if culture negative — histopathology identifies alternate diagnoses in ~20% of cases

Non-vertebral osteomyelitis (Perry & Nacey, AJR 2022):

  • US studies: positive culture yield only 18–28% (vs. 56–99% in European literature — populations differ)
  • Even with positive culture: 48% had no antibiotic change; only 18% received targeted therapy
  • ~10% probability of positive culture AND meaningful management change
  • Evidence does not support routine image-guided PNB for non-vertebral osteomyelitis; reserve for cases where positive culture will critically change management

Primary References

  • Kattapuram SV, Rosenthal DI. Percutaneous biopsy of the musculoskeletal system. AJR Am J Roentgenol. 1991;156(3):609-616.
  • Pramesh CS et al. CT-guided biopsy of thoracic lesions. Diagn Interv Radiol. 2007;13(4):156-159.
  • Nouh MR, Abu-Shady MA. Core needle biopsy of bone tumors: factors affecting adequacy of the specimen. J Bone Oncol. 2014;3(2):41-46.
  • Malik DG, et al. Management Outcomes after Image-Guided Percutaneous Biopsy for Suspected Vertebral Osteomyelitis-Discitis. AJNR Am J Neuroradiol. 2025;46(7):1478–1485.
  • Perry MT, Nacey NC. Bone Biopsy in Suspected Nonvertebral Osteomyelitis: Counterpoint. AJR Am J Roentgenol. 2022;219:197–198.
  • Berbari EF, et al. 2015 IDSA Clinical Practice Guidelines for Native Vertebral Osteomyelitis. Clin Infect Dis. 2015;61:e26–e46.