RC
RadCall Procedure Guide
← Back to Vascular Access
Procedure Playbook

Tunneled Dialysis Catheter Placement

Image-guided placement of tunneled cuffed venous catheters for hemodialysis and long-term central venous access.

Guidance
US + Fluoroscopy
Bleeding Risk
Moderate (SIR Cat 2)
Key Risk
Pneumothorax · Kinking
Antibiotics
Cefazolin 1g pre-op
Follow-up
CXR + flow check
1

Indications / Contraindications

Indications

  • New dialysis patients: Bridge before AV fistula maturation (≥1 month) or AV graft (≥3 weeks)
  • Established HD patients: Failed or maturing permanent access
  • Exhausted AV access options: Catheter as long-term or permanent access
  • NKF-K/DOQI guideline: TCVC indicated when access needed >3 weeks
  • Non-dialysis indications: Long-term chemotherapy (Hickman/Broviac/Groshong), parenteral nutrition, apheresis
  • Note: Fewer than 10% of chronic HD patients should rely on catheter as permanent access

Contraindications

  • Absolute: Coagulopathy (INR >1.5, platelets <50K); active septicemia — must have negative blood cultures ×48h on organism-specific antibiotics before tunneled placement (place non-tunneled acutely then convert)
  • Relative: Central venous stenosis/occlusion (venoplasty first); cardiac device ipsilateral side; prior radiation
  • NEVER use subclavian vein in dialysis patients — irreversibly compromises future AV access
2

Pre-Procedure Checklist

US survey. Confirm IJV patency. Sweep IJ to brachiocephalic for central stenosis — attenuated IJ + collaterals = central occlusion.
Labs. INR <1.5–2.0, platelets >50K. Confirm afebrile. Negative blood cultures ×48h on organism-specific antibiotics before tunneled placement.
Antibiotics. Broad-spectrum prophylaxis: cefazolin 1g IV within 1 hour pre-procedure.
Catheter selection. Confirm catheter type with referring service depending on need — 14.5Fr split-tip for dialysis (e.g., Palindrome, HemoStar, Ash split-tip).
Exit site planning. Mark exit site on anterior chest, 8–12 cm from planned puncture. Low puncture near clavicle creates smooth infraclavicular curve preventing kinking.
Consent. Discuss pneumothorax, arterial puncture, infection, catheter malfunction, central venous thrombosis, air embolism.
3

Relevant Anatomy

Venous Access Sites

  • Right IJV (first-line): Straight path to SVC, minimal angulation, preserves subclavian for future AV access
  • Left IJV: Two 90° turns; stiff hydrophilic wire required; higher kink risk
  • External jugular: Viable when both IJVs occluded
  • Subclavian: NEVER use in dialysis patients — irreversible AV access compromise

Tunnel and Tip Anatomy

  • Tunnel: From puncture site to anterior chest exit site; low puncture near clavicle creates smooth infraclavicular curve preventing kinking
  • Dacron cuff: Position 2–3 cm from exit site; takes 2–4 weeks to incorporate into subcutaneous tissue. Avoid placing cuff above the clavicle — makes removal challenging
  • Tip position: Right atrium for optimal flow (target 400–600 mL/min); too high in SVC = inadequate flow
4

Technique

Default RadCall approach · share your own below

RadCall Standard Default

Tunneled Dialysis Catheter

Sterile US probe cover 21G micropuncture kit Peel-away sheath (16Fr for 14.5Fr cath) Amplatz superstiff 0.035" wire Tunneled dialysis catheter (Palindrome/HemoStar/Ash split-tip) Tunneling rod 1% lidocaine with epinephrine #11/#15 scalpel Kelly hemostat 2-0 nonabsorbable suture Heparinized saline lock (5000 units/mL)

Steps

1

US survey

US survey right IJV — confirm patency, caliber, carotid position. Sweep IJ to brachiocephalic junction to exclude central stenosis. Identify level of lowest IJV access near clavicle.
2

Position

Patient supine, head turned left, Trendelenburg 10–15° to distend IJV and reduce air embolism risk.
3

Sterile prep + drape

Sterile prep full anterior chest and neck. Large sterile drape covering entire field. Apply sterile cover to US probe.
4

Mark exit site + local anesthesia

Mark exit site anterior chest, 8–12 cm from planned puncture. Infiltrate with lidocaine + epinephrine. Create small transverse incision at exit site.
5

US-guided micropuncture right IJV

Apply 1% lidocaine with 25G needle at venous access site under US — previews trajectory and depth. Low puncture near clavicle. Single-wall puncture under real-time US guidance. Advance 0.018" wire under fluoroscopy — confirm wire courses toward IVC. Save fluoroscopic image confirming venous position before proceeding.
View wire in IVC
Fluoroscopy showing 0.018 wire looping in IVC confirming venous access
6

Measure Intravascular Length and Exchange Wire

Pull the 0.018" wire back to the ideal tip position (superior cavoatrial junction). Clamp wire at the micropuncture hub and remove en bloc with inner dilator. Cover open hub immediately. Place 0.035" Amplatz superstiff wire through the transitional dilator to the IVC.
Measuring Intravascular Length
  • Measure the clamped wire length minus ~4 cm (hub length — confirm by measuring the micropuncture hub). This is the intravascular length.
  • Add tunnel length to get total catheter length needed.
  • For cuffed catheters subtract 2–3 cm (cuff-to-skin-incision distance) → this gives ideal tip-to-cuff length.
  • Dialysis catheters come in preset sizes — choose one with tip-to-cuff length that is adequate.
  • Hickman catheters and tunneled uncuffed small-bore catheters are cut to length.
7

Advance peel-away sheath

Critical: Amplatz wire tip must be in IVC — not RA. Advance peel-away sheath over Amplatz wire with firm, rotating motion.
8

Create tunnel

Advance tunneling rod from exit site to planned puncture site through subcutaneous tissue. Thread catheter through the tunneling rod. Pull catheter through tunnel (exit→puncture direction) so tip exits at puncture site. Catheter number at venotomy exit is now the tunnel length.
9

Advance catheter + split sheath

Withdraw inner dilator immediately and occlude hub to prevent air embolism. Advance catheter through peel-away sheath while simultaneously splitting sheath under fluoroscopy. Maintain catheter tip position during sheath removal.
10

Confirm tip position + cuff

Confirm tip at right atrium under fluoroscopy. Aspirate both lumens freely. Position Dacron cuff 2–3 cm from exit site — not too close (infection conduit) and not too far (kink risk).
View final catheter position
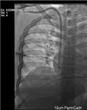
Fluoroscopy showing tunneled dialysis catheter with tip in right atrium
11

Secure + lock

Secure catheter with suture at exit site. Lock lumens with heparinized saline — use exact volumes printed on hub. Do not exceed lock volume.
Browse Card Library →
Sign in to view and create community cards
5

Troubleshooting

Problem

Wire won't advance past IJ-brachiocephalic junction (left side)

Likely cause: Acute angulation at left brachiocephalic vein — left IJV requires two 90° turns.

Next step: Use stiff hydrophilic wire. Rotate patient's head ipsilateral to straighten angle. Use fluoroscopic guidance through the turns. Consider right IJV access if left side fails.

Problem

Peel-away sheath won't advance

Likely cause: Amplatz wire tip in RA instead of IVC — wire buckles and prevents sheath advancement.

Next step: Reconfirm wire tip in IVC under fluoroscopy. Dilate incrementally. Apply smooth forward pressure while rotating — do not force.

Problem

Inadequate dialysis flow at first use

Likely cause: Tip not in RA (too high in SVC), fibrin sheath, kinking, or thrombosis.

Next step: Confirm tip position fluoroscopically — advance to RA if in SVC. Check for kink. TPA lock (1 mg/mL, 30 min dwell × 2). If persistent → catheter exchange over wire.

Problem

Cuff too far from exit site

Likely cause: Tunnel geometry — cuff migrated inward during tunneling.

Next step: Pull catheter back at exit site to reposition cuff to 2–3 cm from exit. Secure with suture. Target: cuff close enough to anchor but not so close it acts as infection conduit.

6

Complications

Periprocedural

  • Pneumothorax (1–3%) — post-procedure CXR mandatory; small = observe; large = chest tube
  • Arterial puncture (1–3%) — Do NOT dilate carotid; remove needle, hold pressure; if dilated → vascular surgery emergency
  • Hematoma (1–3%) — most resolve with compression; expanding = urgent imaging
  • Air embolism (<1%) — prevent with Trendelenburg + immediate hub occlusion after dilator removal

Long-term

  • Catheter malfunction (most common) — fibrin sheath, tip malposition, kinking, thrombosis → TPA lock or catheter exchange
  • CLABSI (1–3 per 1000 catheter-days) — remove for Staph aureus/fungal/tunnel infection; antibiotic lock salvage for coag-neg Staph/gram-negatives in selected cases
  • Central venous thrombosis — anticoagulation; may require catheter relocation
7

Post-Procedure Care

Immediate

  • Fluoroscopic tip confirmation in RA before leaving suite
  • Lock lumens with heparinized saline per hub volume — do not exceed printed lock volume
  • Notify dialysis team — ready for next scheduled session
  • Exit site dressing: chlorhexidine-impregnated sponge

Follow-up

  • Document flow rates at first dialysis use — target 400–600 mL/min
  • Sutures removed 2–3 weeks (after Dacron cuff incorporates)
  • Patient education: keep exit site dry, signs of infection (redness, drainage, fever)
  • Reinforce: this is a bridge — AV access creation/maturation remains the goal
8

Critical Pearls

Right IJV ALWAYS preferred: Preserve subclavian vein for future AV access. NEVER use subclavian in dialysis patients — this is irreversible.
Low neck puncture = no kinking: Puncture near clavicle creates a smooth infraclavicular curve. High puncture = acute angulation = catheter kink at clavicle.
Peel-away sheath safety: Wire tip must be in IVC — not RA. RA wire → buckling → sheath won't advance → SVC laceration risk if forced. Confirm under fluoroscopy before every sheath advance.
Cuff position is critical: 2–3 cm from exit site. Too close = infection conduit (bacteria track along cuff). Too far = kink risk. Adjust at exit site before securing.
Active septicemia = absolute contraindication: Place non-tunneled catheter acutely. Convert to tunneled only after 48h negative cultures on organism-specific antibiotics.
Dacron cuff anchoring: Takes 2–4 weeks to incorporate into subcutaneous tissue. Sutures stay in until then — removing early risks catheter dislodgement.
Target 400–600 mL/min: Document flow at first dialysis use. If inadequate on first run, check tip position and fibrin sheath before attributing to catheter malfunction.
Suspected central venous stenosis/occlusion: Remove 0.018" wire and transitional dilator inner. Perform DSA through the outer micropuncture sheath to obtain a venogram before proceeding. At exchanges, this step is mandatory — stenosis, fibrin sheath, occult SVC occlusion, and retrograde azygous filling are invisible unless actively sought (Siegel TVIR 2008).
Size for the sitting position. The heart descends several centimeters from supine to upright. A catheter tip in the distal SVC on the supine fluoroscopy table may end up too high when the patient sits for dialysis. Target mid-to-upper right atrium on the table so the tip remains at the SVC–RA junction when seated.
Pocket dissection at the venotomy apex prevents kinking. Before inserting the catheter, blunt-dissect a small subcutaneous pocket at the site where the catheter makes its turn from subcutaneous to intravascular — this creates space for the catheter knuckle to rest without tension. Skipping this step is a leading cause of early kink-related dysfunction.
9

Catheter Management

Routine Care

  • Flushing: Heparinized saline lock after each use; never exceed lock volume printed on hub
  • Dressing changes: Chlorhexidine-impregnated sponge every 7 days or when soiled/wet; strict sterile technique
  • Exit site inspection: Each dialysis session — erythema, drainage, tenderness, tunnel track assessment

Fibrin Sheath (Most Common Cause of Inadequate Flow)

  • TPA 1 mg/mL dwell × 30 min × 2 attempts; aspirate before reconnecting
  • If TPA fails → fluoroscopic exchange over wire with fibrin sheath disruption, or femoral stripping
  • Rule out kink on fluoroscopy before assuming fibrin sheath

CLABSI Management

  • Blood cultures from catheter AND peripheral site simultaneously
  • Remove catheter: Staph aureus, fungal, tunnel infection — no salvage attempt
  • Antibiotic lock salvage: Coag-neg Staph, gram-negatives in selected stable patients
  • New tunneled catheter placement only after repeat negative cultures (ideally after 48h on organism-specific antibiotics)

Thrombotic Occlusion

  • TPA lock — dwell per protocol; aspirate; do not flush clot into circulation
  • If TPA fails → image-guided exchange; rule out kink first
  • Consider systemic anticoagulation if central venous thrombosis on imaging
10

References & Resources

Primary sources · Key data · Related procedures

Key Guidelines

  • KDIGO Vascular Access Guidelines 2019
  • KDOQI Clinical Practice Guidelines for Vascular Access 2019
  • SIR Standards of Practice for Venous Access

Primary References

  • Lok CE et al. (KDIGO Vascular Access Work Group). KDIGO Clinical Practice Guideline for Vascular Access for Hemodialysis. Kidney Int Suppl. 2019;9(2):S1-S164.
  • Beathard GA. Catheter management protocol for catheter-related bacteremia. ASAIO J. 2003;49(1):14-17.
  • Trerotola SO et al. Tunneled infusion catheters: increased incidence of symptomatic venous thrombosis after subclavian versus internal jugular venous access. Radiology. 2000;217(1):89-93.