RC
RadCall Procedure Guide
← Back to Vascular Access
Procedure Playbook

Subcutaneous Port Placement

Image-guided placement of implantable venous access ports for long-term intermittent chemotherapy and IV medications.

Guidance
US + Fluoroscopy
Bleeding Risk
Moderate (SIR Cat 2)
Key Risk
Pocket hematoma · Infection
Antibiotics
Cefazolin 1g pre-op
Follow-up
CXR for tip position
1

Indications / Contraindications

Indications

  • Long-term intermittent chemotherapy — most common indication
  • Long-term IV antibiotics or medications
  • Frequent blood transfusions or blood draws
  • Best for patients needing central access intermittently over months to years
  • Port types — discuss with referring:
    • Single lumen — standard; most chemotherapy regimens
    • Double lumen — simultaneous incompatible infusions (lymphoma, TPN + chemo)
    • Power-injectable — strongly preferred; future contrast CT universal in oncology; standard ports cannot power inject
    • Size: larger for large patients (easier access); smallest for thin patients (prevents erosion)
  • Chest port preferred over arm port — lower infection and thrombosis rates

Contraindications

  • Absolute:
    • INR >1.5 OR platelets <75,000 — stricter than CVL
    • Systemic infection
    • Bevacizumab (Avastin) within 14 days — wound dehiscence risk
  • Relative:
    • Prior radiation at access or pocket site (consider contralateral side)
    • Known central vein occlusion
    • Ipsilateral cardiac device
2

Pre-Procedure Checklist

Confirm device type with referring. Single vs. double lumen; power-injectable (strongly preferred); appropriate port size for patient body habitus.
Review prior imaging. Large apical lung mass → contralateral side. Identify prior radiation fields. Assess for central vein occlusion or ipsilateral cardiac device.
Labs (SIR Category 2 — moderate risk). INR <1.5 required. Platelets ≥50,000 required.
Anticoagulation (SIR Cat 2 — moderate risk). Warfarin: hold 5 days (INR <1.5 day-of). LMWH: hold 24h. DOACs: hold 24–48h. Aspirin: continue. Clopidogrel: risk-based — often does not need to be held; hold 5 days if bleeding risk exceeds thrombotic risk. Bridging: individualized decision based on thrombotic risk (mechanical valves, AF, recent VTE/stent); consult prescribing team.
Bevacizumab window — mandatory 14-day hold. Confirm last dose date with oncology before scheduling. Wound dehiscence and poor healing are significant risks within this window. Hard stop.
Antibiotics. Cefazolin 1g IV within 60 min of incision. Vancomycin 1g IV if PCN/cephalosporin allergy. Ceftizoxime 1g as alternative.
Sedation plan. Optional conscious sedation (midazolam + fentanyl); most patients tolerate local anesthesia alone with generous lidocaine + epinephrine.
Pre-procedure US survey. Neck and upper chest vessels bilaterally. Confirm IJV patency. Identify carotid position relative to IJV.
Sterile setup. Full surgical scrub. Sterile gown, gloves, cap, mask — ALL personnel wear masks. Double chlorhexidine scrub of neck and upper chest. Large sterile drape. Port soaked in antibiotic solution. Flush all supplies with saline before starting.
3

Relevant Anatomy

Venous Access

  • Right or left IJV strongly preferred — subclavian approach: 5–10% thrombosis vs. <1% for IJV; avoid subclavian for ports
  • Puncture approximately 1 cm above the clavicle
  • Too high → catheter kinking at the IJV–subclavian junction
  • Too low → unnecessary difficulty and increased complication risk

Pocket Site

  • Infraclavicular space midway between sternal notch and humeral head
  • 8–12 cm from puncture site
  • Depth ~1 cm subcutaneous — not sub-pectoral (too deep impairs palpation and needle access)
  • Just large enough for the port — tight fit reduces migration
  • Stay lateral to the midclavicular line to avoid pneumothorax during pocket creation

Tunnel and Tip Position

  • Catheter tunneled subcutaneously from pocket to IJV puncture site
  • Catheter cut to SVC–RA junction (cavoatrial junction) length
  • Optimal tip: SVC–RA junction — too high → thrombosis; too low → arrhythmia
  • Verify tip position fluoroscopically before closing pocket
4

Technique

Default RadCall approach · share your own below

RadCall Standard Default

Port Placement

Sterile US probe cover 21g micropuncture kit Peel-away sheath (size per catheter) Amplatz superstiff 0.035" wire Chosen port + catheter Tunneling device 1% lidocaine WITH epinephrine #11 and #15 scalpels Kelly hemostat Weitlaner retractor 0-gauge nonabsorbable suture (port anchoring) 2-0 Vicryl (deep closure) 4-0 Monocryl or skin glue (skin) 60cc antibiotic solution Non-coring Huber needle for final access

Steps

1

IJV Access

Longitudinal US probe orientation. Apply 25G local anesthetic at venous access site. Make dermatotomy and perform blunt dissection with Kelly forceps to accommodate sheath. Through dermatotomy, advance 21G micropuncture needle into the center of the IJV under real-time US visualization. Advance 0.018" wire into the IVC and save an image to confirm venous position. Remove needle and place 5Fr micropuncture sheath.
2

Wire Exchange and Catheter Length Measurement

Position 0.018" wire at ideal catheter tip position. Clamp at hub of transitional dilator. Remove inner dilator and wire together. Cover hub and advance 0.035" Amplatz superstiff wire into the IVC. Measure clamped wire length on the back table — subtract ~4 cm (measure micropuncture hub length to confirm). This is your intravascular length. Write it down. Add tunnel length for total catheter length.
3

Peel-Away Sheath Placement

Remove outer micropuncture sheath and advance peel-away sheath over the Amplatz wire. Ensure Amplatz wire tip is in the IVC to avoid SVC laceration — confirm under fluoroscopy before advancing sheath.
4

Pocket Creation

Use anatomic landmarks or a ruler to map pocket location — approximately three finger-breadths inferior to clavicle, lateral to venotomy. Confirm pocket will be over a rib (provides countertension for port access) using hemostats under fluoroscopy. Mark and administer lidocaine + epinephrine at the incision site and throughout the pocket. Transverse incision slightly wider than the port (~2 cm for single lumen). Dissect out the port pocket using hemostats and finger — most operators create the pocket caudal to the incision. Ensure port fits in pocket. Irrigate with antibiotic solution.
5

Tunneling

Connect reservoir to catheter. Attach catheter to tunneling rod. Tunnel subcutaneously from pocket to puncture site — stay superficial to pectoralis fascia. Pull catheter through tunnel. Remove tunneling rod. Place port in pocket. Catheter number at venotomy exit is now the tunnel length. Add measured intravascular length and cut catheter to total length.
6

Catheter Insertion Through Peel-Away Sheath

Advance catheter through the peel-away sheath, holding the catheter firmly at the hub while splitting the sheath apart — do not release catheter during split to prevent air embolism. Confirm tip position under fluoroscopy.
7

Confirm Port Function

Access port with non-coring Huber needle. Confirm free flow and aspiration of blood. Flush 10 mL saline.
8

Pocket Closure

Anchoring port at suture holes is optional. Close fascia/subcutaneous tissues with interrupted 0-Vicryl. Close skin with 4-0 Monocryl or skin glue. Ensure hemostasis before closure.
9

Lock and Dressing

Lock port with heparinized saline (300–500 units/mL, 5 mL). Apply sterile dressing over incision and Huber needle. Obtain final fluoroscopic image for tip position.
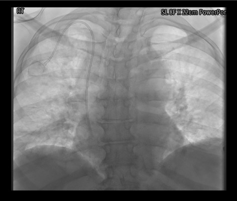
View final port position
Fluoroscopy showing implanted power port with catheter tip at SVC-RA junction
Browse Card Library →
Sign in to view and create community cards
5

Troubleshooting

Problem

Peel-away sheath won't advance

Likely cause: Amplatz wire tip is in the RA rather than IVC, or insufficient dilation of the subcutaneous tract.

Next step: Confirm Amplatz wire tip is in the IVC — not the RA — under fluoroscopy before advancing the sheath. Dilate incrementally. Apply smooth forward pressure without torquing. Never force the sheath with the wire in the RA.

Problem

Pocket hematoma developing

Likely cause: Insufficient electrocautery hemostasis during pocket dissection.

Next step: Use electrocautery throughout pocket creation. Do not close over a hematoma — explore and irrigate until completely dry. Compression alone is inadequate for an expanding pocket hematoma.

Problem

Catheter length is off after cutting

Likely cause: Measurement error — most commonly failing to account for the peel-away sheath overhang length.

Next step: Recheck measurement technique. The peel-away sheath extends a fixed distance beyond the skin — this must be subtracted from the external landmark measurement. If cut too short, a new catheter will be needed.

Problem

Difficulty tunneling

Likely cause: Tunneling rod too deep (entering pectoralis), or insufficient local anesthesia along tunnel route.

Next step: Ensure tunneling rod stays superficial to pectoralis fascia throughout. Infiltrate generous local anesthetic along the full tunnel route before tunneling. Blunt finger dissection at the exit site facilitates emergence of the rod.

6

Complications

Early Complications

  • Pocket hematoma (most common early) — prevention: meticulous electrocautery hemostasis throughout; management: compression; drainage if large or infected
  • Wound dehiscence / necrosis — risk with bevacizumab or pocket too superficial or tight; management: wound care ± port removal
  • Pneumothorax (SIR threshold 4% subclavian/jugular) — higher with subclavian approach; post-procedure CXR mandatory
  • Air embolism — prevention: always occlude peel-away hub; never release catheter during sheath splitting
  • Port flip / rotation — prevention: anchor through BOTH suture holes
  • Central vein laceration (catastrophic) — prevention: confirm Amplatz wire tip in IVC before advancing peel-away sheath

Late Complications

  • Infection / pocket cellulitis (3–7%) — IV antibiotics + port removal required for most port infections; antibiotic lock salvage rarely successful for ports (unlike tunneled catheters)
  • Catheter pinch-off — subclavian approach; prevention: IJV or lateral clavicle approach
  • Catheter fracture / embolism — rare; management: endovascular retrieval with snare
  • Port erosion through skin — port too superficial or too large for thin patient
  • Venous thrombosis (SIR threshold 8%) — subclavian 5–10%; IJV <1%
  • Thrombotic occlusion — alteplase 2.5mg in 50cc NS dwell × 3h; if fails, image-guided catheter exchange

SIR Complication Thresholds — Subclavian / Jugular Approach (Dariushnia et al., JVIR 2010)

Complication Subclavian / Jugular
Wound dehiscence2%
Procedure-induced sepsis4%
Thrombosis8%
Pneumothorax4%
Hemothorax2%
Perforation2%
Hematoma4%

SIR Success Rate Thresholds: IJV 95% · Subclavian 90%

7

Post-Procedure Care

Immediate

  • CXR for tip position and pneumothorax before patient leaves
  • Access port with 22g non-coring Huber needle; confirm aspiration and free flow
  • Lock: 10mL saline + 5mL heparinized saline (300–500 units/mL)
  • Sterile dressing over incision and Huber needle; change at 7 days

Follow-up and Patient Instructions

  • First oncology use: typically 7–14 days (allow wound healing)
  • Patient education: non-coring Huber needle only — regular needles core the septum and destroy port integrity
  • Teach incision care and infection warning signs (redness, swelling, fever, drainage)
  • Routine maintenance flush every 4–6 weeks between uses (institutional variation)
8

Critical Pearls

Confirm bevacizumab timing. Mandatory 14-day hold before port placement. This is a hard stop — wound dehiscence and poor healing are significant risks within this window.
Power-injectable port almost always preferred. Confirm with oncology before ordering. Oncology patients will universally need contrast CTs; standard ports cannot be used for power injection.
Meticulous electrocautery throughout pocket creation. Meticulous hemostasis is the single most important step to prevent pocket hematoma. Do not close over any active bleeding.
Antibiotic pocket irrigation. 60cc antibiotic irrigation (3 × 20cc) significantly reduces early port infection rates. Soak port in antibiotic solution before implantation as well.
IJV over subclavian. Internal jugular vein access gives <1% venous thrombosis vs. 5–10% with subclavian approach. The difference is clinically significant over a port's lifespan.
Longitudinal US for IJV access. Visualize needle tip in the center of the vein lumen in long-axis view before advancing the wire. Reduces posterior wall puncture and inadvertent carotid access.
Amplatz wire tip in IVC before advancing peel-away sheath. If the wire tip is in the RA, advancing the stiff sheath risks SVC laceration. Confirm IVC position fluoroscopically every time.
Small port for thin patients. Use the smallest available port and ensure ~1 cm depth. Superficial or oversized ports in thin patients will erode through the skin over time.
Anchor through BOTH suture holes. Single-point fixation allows the port to rotate or flip, making Huber needle access difficult or impossible. Always use both anchoring holes.
Communicate with oncology before placement. Confirm device type, laterality, and timing relative to chemotherapy and bevacizumab. Prevent avoidable returns to the OR for wrong-device placements.
Tape breast tissue inferiorly before measuring catheter length in well-endowed or obese women. When the patient is upright, breast tissue shifts the catheter tip cephalad relative to the supine measurement. Failing to account for this results in a catheter that is too short when the patient is standing.
At port removal: retrieve catheter before tissue dissection. The catheter can disconnect from the reservoir during blunt dissection, leaving a retained intravascular fragment that requires endovascular snare retrieval. Always remove the catheter first by traction, then dissect the pocket.
9

Port Access and Care

Accessing the Port

  • Palpate the port to confirm orientation and position
  • Topical anesthetic: EMLA cream 60 min prior if not urgent
  • Sterile prep of access site
  • Use ONLY non-coring Huber needle — regular needles core the septum and destroy port integrity over time
  • Insert Huber needle perpendicular to the septum until firm backstop felt against the port base
  • Confirm by aspirating blood before infusing
  • Flush 10mL saline; if resistance encountered do not force — remove needle and reaccess
  • Common gauges: 20–22g Huber; 22g for blood draws; 19–20g for power injection of contrast (confirm port is power-injectable before use)

Routine Maintenance and Troubleshooting

  • After each use: Flush 10mL NS; lock with 5mL heparinized saline (300–500 units/mL)
  • Maintenance flush: Every 4–6 weeks between uses (institutional variation)
  • Thrombotic occlusion: Alteplase 2.5mg in 50cc NS dwell × 3h (1 attempt); if fails → image-guided catheter exchange or fibrin sheath stripping
  • Port access failure: Check patient position (raise arm, rotate head); fluoroscopy for tip position and catheter course; TPA dwell for fibrin sheath
  • Catheter fracture: Endovascular retrieval with snare — refer to IR urgently
  • Port infection: Blood cultures × 2 (peripheral and through port); antibiotics; most require port removal for cure
10

References & Resources

Primary sources · Key data · Related procedures

Key Guidelines

  • ACR-SIR-SPR Practice Parameter for Central Venous Access
  • NCCN Supportive Care — Venous Access Devices
  • SIR Standards of Practice

Primary References

  • Walser EM. Venous access ports: indications, implantation technique, follow-up, and complications. Cardiovasc Intervent Radiol. 2012;35(4):751-764.
  • Teichgräber UK et al. Central venous port systems as an integral part of chemotherapy. Dtsch Arztebl Int. 2011;108(9):147-154.
  • Vescia S et al. Management of venous port systems in oncology: a review of current evidence. Ann Oncol. 2008;19(1):9-15.