RC
RadCall Procedure Guide
← Back to Vascular Access
Procedure Playbook

US-Guided Non-Tunneled Central Venous Line

Ultrasound- and fluoroscopy-guided placement of a non-tunneled central venous catheter via internal jugular, subclavian, or femoral access.

Guidance
Ultrasound + Fluoro
Bleeding Risk
Moderate (SIR Cat 2)
Key Risk
Pneumothorax · Art. puncture
Antibiotics
Biopatch only
Follow-up
CXR for tip position
1

Indications / Contraindications

Indications

  • Inability to achieve adequate peripheral venous access
  • Medications unsafe via peripheral IV: TPN, vasopressors, chemotherapy, hypertonic solutions
  • Frequent blood draws; central venous pressure monitoring
  • Hemodialysis (acute); plasmapheresis
  • Rapid volume resuscitation (large-bore access)

Contraindications

  • Absolute: Combative/uncooperative patient; no safe access site
  • Relative: Coagulopathy (SIR: INR ≤2.0, platelets ≥50K); active sepsis at proposed access site; prior radiation therapy traversing access site; suspected vein occlusion (confirm patency with US pre-procedure)
  • Anticoagulation: Aspirin and Plavix do NOT need to be held. LMWH: hold 1 dose if feasible.
  • Note: Clinical urgency frequently overrides ability to correct coagulopathy.
2

Pre-Procedure Checklist

Review imaging. Review available imaging at proposed access site; avoid sites within prior radiation fields.
Pre-procedure US survey. Confirm target vein patency; identify variant anatomy; assess for existing thrombus; measure vein caliber.
Labs. INR ≤2.0 preferred (not strict); platelets ≥50K; clinical judgment prevails for urgent cases. All central venous access is low bleeding risk per SIR guidelines.
Anticoagulation. Aspirin/Plavix — no hold required; LMWH — hold 1 dose if feasible; urgent clinical situations override.
Preview with 25g needle. Consider pre-procedure 25g local needle under US to preview angles and depths before committing to larger access needle.
Sterile preparation. Full surgical scrub; sterile gown, gloves, cap, mask; 20×20 cm sterile prep and drape.
Consent. Arterial puncture, pneumothorax, hematoma, infection, air embolism, thrombosis, catheter malposition.
3

Relevant Anatomy

Site-Specific Anatomy

  • See Section 9 (Site Selection) for detailed site-by-site guide.
  • IJ vein: Anterior-lateral to carotid artery; compressible on US; distends with Valsalva; right IJ provides direct path to SVC and right atrium
  • Subclavian vein: Superficial to subclavian artery; distends with Valsalva; compressed under clavicle medially
  • Femoral vein: Medial to femoral artery in femoral triangle; compressible; thrombosis risk ~20%

Target Tip Position

  • IJ / Subclavian catheters: SVC–right atrial junction or upper right atrium (confirmed fluoroscopically)
  • Femoral catheters: Tip at IVC–right atrial border
  • Tip position must be confirmed fluoroscopically before line use
  • Malposition into ipsilateral IJ, azygos vein, or contralateral brachiocephalic should prompt repositioning over wire
4

Technique

Default RadCall approach · share your own below

RadCall Standard Default

Supplies

Sterile US probe cover 21g micropuncture kit (needle + 0.018" wire + coaxial sheath) 0.035" J-wire Dilator Triple-lumen 7Fr catheter 10 mL slip-tip syringe 1% lidocaine 25g + 21g needles (local anesthesia) Sterile drape + ChloraPrep #11 scalpel Mosquito hemostat 2-0 nonabsorbable suture Biopatch Heparinized saline flush

Steps

1

US survey

Confirm IJ patency. Sweep from IJ to brachiocephalic to rule out central stenosis or occlusion (attenuated IJ with collaterals suggests central occlusion). Identify carotid artery.
2

Positioning

Supine, head turned away from access side. Trendelenburg to dilate IJ. Right IJ preferred.
3

Sterile prep + local anesthesia

Full sterile prep and drape. Use 25g needle first under real-time US — preview angles and depths before committing to the 21g micropuncture needle. This 25g pass simultaneously provides local anesthesia to the tract.
4

Single-wall venipuncture

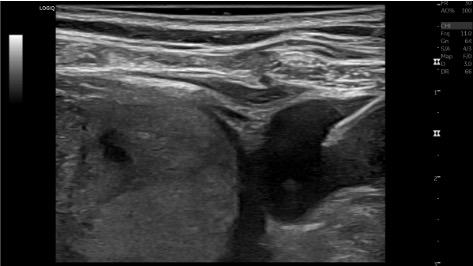
Advance 21g micropuncture needle under REAL-TIME US. Orient probe parallel/cephalad to clavicle; aim for lateral wall of IJ. Proximal vein wall "tents" as needle approaches; apply minimal impulse to "pop" through. Needle tip should be echogenic within lumen.
View IJ US access
Ultrasound of internal jugular vein access
5

Microwire placement

Advance 0.018" microwire under fluoroscopy — direct tip caudally toward SVC. If resistance: check fluoro (wire deflecting superiorly = likely extravascular). Do NOT pull wire back through needle (shearing risk) — withdraw needle and wire as a UNIT if problem.
6

Skin incision + blunt dissection

Skin incision along needle (blade directed away from carotid). Blunt dissection with mosquito hemostat — too small = resistance and kinking.
7

Exchange to 0.035" system

Remove micropuncture needle; advance coaxial sheath; withdraw inner sheath and microwire. Keep finger over hub to minimize bleeding and air embolus.
8

Catheter placement

Advance 0.035" J-wire to IVC under fluoroscopy to confirm venous position. Advance catheter over wire to target position (SVC-RA junction).
View wire to IVC
Fluoroscopy showing wire passed to IVC confirming venous position
9

Confirm + secure

Confirm tip position fluoroscopically. Aspirate all lumens; flush with heparinized saline. Suture with 2-0 nonabsorbable (×2 sites). Biopatch at skin entry.
Browse Card Library →
Sign in to view and create community cards
5

Troubleshooting

Problem

Wire deflects superiorly (into IJ / not heading to SVC)

Likely cause: Needle tip not in SVC; wire following extravascular or wrong track; needle angled too superiorly.

Next step: Withdraw needle and wire as a unit. Reattempt with needle directed more caudally. Advance wire under fluoroscopy to confirm trajectory toward SVC before exchanging sheath.

Problem

Wire kinks on exit through skin

Likely cause: Skin incision too small; subcutaneous tract not adequately blunt dissected.

Next step: Replace with new wire. Ensure skin incision is adequate and bluntly dissect the tract with mosquito hemostat before re-exchanging.

Problem

Cannot compress vein / suspected thrombosis

Likely cause: Acute or chronic DVT at target site.

Next step: Perform full US survey; confirm with power Doppler. Do NOT puncture thrombosed vein. Switch to alternative site.

Problem

Inadvertent carotid / arterial puncture

Likely cause: Medial needle trajectory; excessive pulsatile flow on aspiration; bright red blood.

Next step: Remove needle; apply gentle pressure × 5–10 min. Abandon this access level; reassess and attempt IJ at different level or opposite side. If large sheath already placed in carotid — do NOT remove at bedside (risk of massive hematoma) — vascular surgery emergency.

Problem

No blood return

Likely cause: Needle not deep enough; posterior wall puncture; needle outside lumen.

Next step: Advance needle slightly under US; rotate bevel; try repuncture. Needle may have passed through posterior wall — withdraw slowly under US while aspirating.

Problem

Catheter kinking at skin

Likely cause: Skin incision too small; subcutaneous tract underdissected.

Next step: Pull back catheter; enlarge incision with hemostat; re-advance catheter.

Problem

Air embolism (sudden hemodynamic collapse, "mill-wheel" murmur)

Likely cause: Air entrainment during sheath exchange or catheter placement; hub left open.

Next step: Immediately left lateral decubitus + Trendelenburg; 100% O2; aspirate through catheter; hyperbaric O2 if available.

6

Complications

Procedural

  • Arterial puncture (1–3%): Remove needle, firm pressure ×10 min. Do not dilate or place catheter in artery. If large sheath placed in carotid — do NOT remove at bedside — vascular surgery emergency.
  • Pneumothorax (1–3%, IJ/subclavian): Uncommon with US guidance. Small/stable → supplemental O2 ± serial CXR. Large/symptomatic → small-bore chest tube.
  • Hematoma (1–3%): Compression; usually self-limited.
  • Air embolism (<1%): See troubleshooting above.

Delayed

  • CLABSI (1–3%): Remove non-tunneled line; blood cultures; IV antibiotics; place new line if still needed.
  • Venous thrombosis: IJ/subclavian ~4%; femoral ~20%. Anticoagulation; remove catheter when no longer needed.
  • Catheter malposition: Detected on CXR; requires repositioning over wire under fluoroscopy.
  • Overall major complication rate with image guidance: ~3%; technical success >99% with US guidance.
7

Post-Procedure Care

Confirmation + Securing

  • Fluoroscopic confirmation of tip at SVC-RA junction required before use
  • Line secured with 2-0 nonabsorbable suture ×2 sites; Biopatch at skin entry
  • All lumens flushed with heparinized saline; volume per lumen marked on catheter

Ongoing Line Care

  • Daily assessment of line necessity — remove as soon as no longer needed (reduces CLABSI risk)
  • Dressing change per institutional protocol (usually q7d with chlorhexidine-impregnated dressing)
  • Suspected CLABSI: Draw blood cultures from line AND peripheral; consider catheter removal
8

Critical Pearls

Always confirm venous access with US and fluoroscopy before dilation: Arterial dilation is a serious, potentially catastrophic complication. Confirm wire courses toward the SVC under fluoroscopy — not toward the aorta — before exchanging to 0.035" system and dilating.
Right IJ is preferred first access: Largest caliber, most direct path to SVC, fewest turns. Puncture low in the neck (near clavicle): more comfortable, less catheter protrudes, and facilitates future tunneling for dialysis conversion if needed.
NEVER pull the guidewire back through the needle: Shearing risk. Always withdraw needle and wire as a unit if repositioning is needed.
Adequate skin incision and blunt dissection: A too-small skin incision causes wire kinking and loss of tactile feedback. Bluntly dissect with mosquito hemostat until resistance is gone before advancing catheter.
Preserve subclavian veins: In any patient who may ever need hemodialysis (AV fistula/graft outflow), avoid subclavian access — subclavian stenosis can permanently compromise upper extremity AV access.
Femoral access is last resort: ~20% thrombosis rate, highest infection risk. Reserve for emergencies or when upper body access is exhausted.
25g needle preview: The 25g local anesthetic needle under US previews angles and depths before you commit to the micropuncture needle — use this every time.
Watch for wire balling or looping under fluoroscopy: This suggests extravascular position. Do not dilate. Withdraw wire and needle as a unit and reattempt.
IVC filter caution: If wire loops into IVC filter — do not advance wire through filter; redirect under fluoroscopy.
Left subclavian preferred over right: Less acute brachiocephalic-SVC angle makes wire/catheter navigation easier from the left subclavian approach.
9

Site Selection

Site-by-site anatomy, technique, and tradeoffs

Site Status Anatomy & Technique Advantages Avoid When
Right IJ Preferred Anterior-lateral to carotid; larger caliber than left IJ; direct straight path to SVC and RA. US probe parallel/cephalad to clavicle; target lateral wall of IJ; puncture low (near clavicle); keep carotid visible on US at all times. Least complication risk; easiest tunneling if conversion to tunneled dialysis catheter needed. Right neck lymphadenopathy, prior radiation, or ipsilateral AV fistula planned.
Left IJ Acceptable Two ~90° turns at IJ-brachiocephalic junction and brachiocephalic-SVC junction. Use stiff hydrophilic wire to navigate turns; advance wire under fluoroscopy. Acceptable alternative when right IJ unavailable. Slightly higher catheter kink and malposition rate vs. right IJ. Avoid if right IJ is accessible.
External Jugular (EJ) Acceptable Visible and palpable lateral neck; US identifies it superficial to the SCM. Advance wire carefully — acute angle at EJ–subclavian junction; hydrophilic wire or stiff wire may be needed. Direct visualization often possible without US. No arterial puncture risk. Viable when both IJ sites are occluded or unavailable. Tortuous anatomy common; higher malposition rate. Reserve for cases where IJ is inaccessible.
Subclavian Caution Access via lateral half of clavicle (avoids "pinch-off" at medial clavicle-rib compression). Transducer perpendicular to clavicle — simultaneously visualize subclavian vein, artery, and pleura. Left subclavian preferred over right (less acute angle into SVC). Acceptable when IJ sites unavailable. Lower infection rate than femoral. Any patient who may ever need hemodialysis (AV fistula/graft outflow). Associated with higher rates of subclavian stenosis, thrombosis, and irreversible compromise of upper extremity AV access. Pneumothorax risk 1–3%.
Femoral Last Resort Femoral vein is medial to femoral artery; access ideally over femoral head. Needle at 45° aiming cephalad; advance 5 mm medial to femoral arterial pulse. Tip position: IVC–right atrial border (not SVC-RA junction). No pneumothorax risk; useful in coagulopathic patients where compression is feasible; accessible during CPR. Ambulatory patients; immunocompromised; patients who will be mobilized. Thrombosis rate ~20%; highest infection risk of all sites.
10

References & Resources

Primary sources · Key data · Related procedures

Key Guidelines

  • SIR Standards of Practice for Venous Access
  • ACR-SIR-SPR Practice Parameter for Central Venous Access
  • SCCM/IDSA CLABSI Prevention 2022

Primary References

  • McGee DC, Gould MK. Preventing complications of central venous catheterization. N Engl J Med. 2003;348(12):1123-1133.
  • Sznajder JI et al. Central vein catheterization: failure and complication rates by three percutaneous approaches. Arch Intern Med. 1986;146(2):259-261.
  • Troianos CA et al. Guidelines for performing ultrasound guided vascular cannulation. J Am Soc Echocardiogr. 2011;24(12):1291-1318.
  • Brass P et al. Ultrasound guidance versus anatomical landmarks for subclavian or femoral vein catheterization. Cochrane Database Syst Rev. 2015;(1):CD011447.