Free reference — 99+ guides, IR playbooks, wRVU tracking, and more in RadCall Pro. Start 14-day free trial
Pediatric Updated 2026-04

Neonatal Chest Patterns — CXR Diagnosis

Neonatal chest X-ray patterns: HMD/RDS, TTN, meconium aspiration, neonatal pneumonia, BPD, and PIE — key imaging features and clinical context for each diagnosis.

Quick summary

Neonatal chest radiographs are interpreted in the context of gestational age, delivery history, and clinical presentation. Most diagnoses depend on pattern recognition combined with gestational age — preterm vs. term vs. post-term.

Classification by Distribution and Gestational Age

Diffuse Neonatal Lung Disorders Focal Neonatal Lung Disorders Diffuse or Focal Neonatal Lung Disorders Preterm Surfactant deficiency disorder (RDS/HMD) Full term Retained fetal fluid (TTN) Meconium aspiration syndrome Diffuse developmental disorder Congenital surfactant dysfunction disorder Congenital pulmonary lymphangiectasia Preterm & full term Alveolar growth disorder (BPD) Vascular congestion (cardiac disease) Congenital lobar overinflation Congenital pulmonary airway malformation (CPAM) Bronchopulmonary sequestration Neonatal pneumonia (GBS, Listeria, viral) Pulmonary interstitial emphysema (PIE) Aspiration due to congenital anomaly

Neonatal Chest Patterns

Diagnosis Key Imaging Features Clinical Context
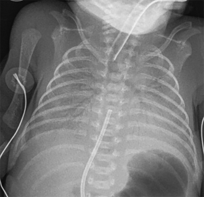
HMD / RDS (Hyaline Membrane Disease / Respiratory Distress Syndrome) Diffuse bilateral granular ("ground-glass") pattern; air bronchograms; low lung volumes Premature infant; surfactant deficiency; improves with surfactant therapy
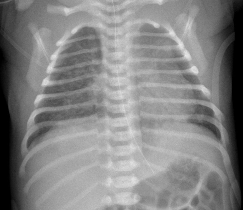
TTN (Transient Tachypnea of the Newborn) Perihilar streaking; fluid in fissures (especially right minor fissure); symmetric; resolves within 24–48h Term or near-term; delayed clearance of fetal lung fluid; benign and self-limited
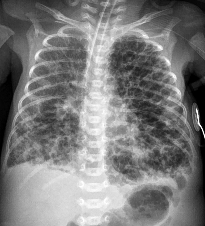
MAS (Meconium Aspiration Syndrome) Coarse, asymmetric opacities; bilateral hyperinflation; air trapping; high risk for pneumothorax Post-term infant; meconium-stained amniotic fluid; can cause severe respiratory compromise
Neonatal Pneumonia Indistinguishable from HMD on CXR; may show focal consolidation Consider in Group B Strep (GBS) exposure, maternal fever, prolonged rupture of membranes; blood cultures essential
BPD (Bronchopulmonary Dysplasia) Hyperinflation; cystic lucencies; linear fibrotic stranding; heterogeneous opacification Chronic lung disease: oxygen requirement at 28+ days of life; sequela of prolonged ventilation and prematurity
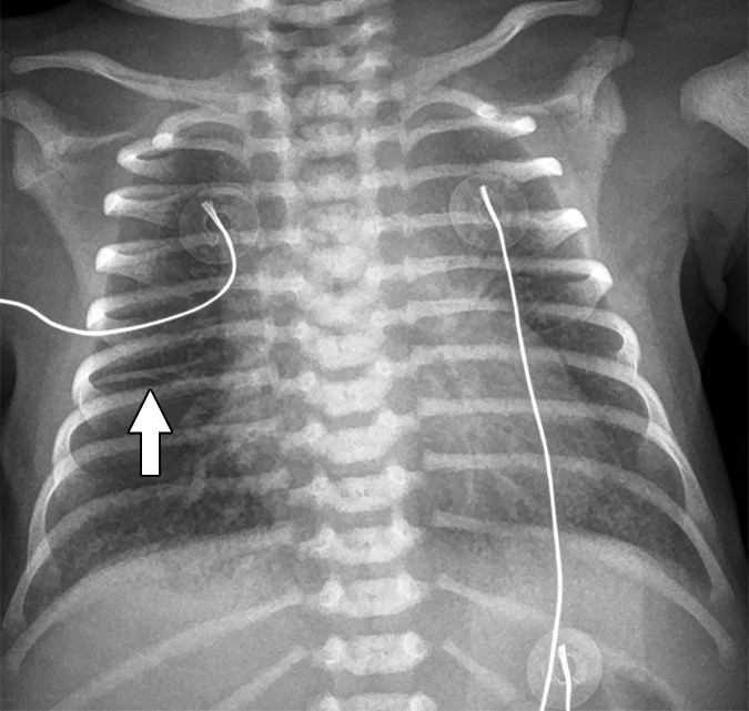
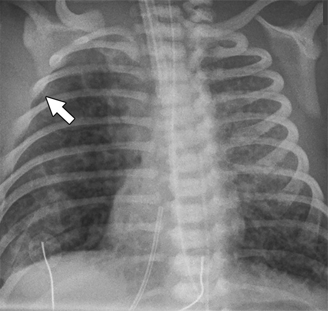
PIE (Pulmonary Interstitial Emphysema) Linear and cystic lucencies radiating from hilum; can be unilateral or bilateral Complication of mechanical ventilation in HMD; air dissects into perivascular and perilymphatic spaces

Chest Radiograph Examples

HMD vs. neonatal pneumonia: These two diagnoses are radiographically indistinguishable. In any premature infant with a diffuse granular pattern, especially with risk factors (maternal GBS colonization, prolonged rupture of membranes, maternal fever), treat empirically for pneumonia while awaiting cultures.

PIE is a ventilator complication distinct from pneumothorax — the air is interstitial, not pleural. Unilateral PIE may be managed with selective intubation of the contralateral bronchus. Bilateral PIE carries significant morbidity.

Pattern by Gestational Age

Gestational Age Most Likely Diagnoses
Premature (<37 weeks) HMD/RDS (most common), neonatal pneumonia, PIE (ventilator complication)
Term (37–42 weeks) TTN, neonatal pneumonia, MAS (if meconium present)
Post-term (>42 weeks) MAS (highest risk), TTN
Any gestational age — chronic BPD (after 28+ days of oxygen), congenital anomalies (CPAM, sequestration, congenital lobar overinflation)

More in RadCall 99+ guides, IR procedure playbooks, systematic search patterns, case logging, and wRVU tracking — all in one place.
Start free trial ›